TIBIAL SPINE FRACTURES
Frank Giacobetti, M.D. Orthopaedic Resident
September 20, 1995
CLINICAL CASE PRESENTATION
ORTHOPAEDIC DEPARTMENT
THE ALFRED I. DUPONT INSTITUTE
WILMINGTON, DELAWARE
CASE HISTORY:
- HISTORY: This is a 14 year old male who presented to the A.I
duPont emergency room complaining of left knee pain after having fallen
off his bicycle.
- PHYSICAL EXAM: Exam reveals a swollen left knee. Skin was intact.
There was tenderness to palpation diffusely about the knee. Valgus stress
at full extension and at 30 degrees revealed an increased laxity on the
left. Anterior draw and Lachman tests were also asymmetric with an increased
excursion on the left. Neurovascular exam was unremarkable.
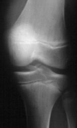
- XRAYS: Type III Meyer's / McKeever tibial spine fracture
GENERAL:
- Avulsion fracture of the tibial spine is a relatively rare injury in
children accounting for approximately 3 per 1 00,000 children's fx -Fracture
of the tibial spine is seen primarily in children from the ages of 8 to
14 -The injury is virtually always to the anterior intercondylar eminence.
The posterior intercondylar eminence is rarely fractured (10x less common),
and when this occurs, it is generally in skeletally mature individuals.
- The anterior intercondylar eminence fracture is analogous to an injury
to the ACL in the skeletally mature individual.
ETIOLOGY:
- Injury is caused by hyperextension of the knee associated with some
lateral movement leading to increased stress on the ACL.
- The most common activity associated with this fracture is bicycle riding.
Some authors say that if a knee injury with effusion occurs during a bike
ride, a tibial spine fracture is present until proven otherwise.
CLASSIFICATION:
- Meyer's and McKeever have described three main types of intercondylar
fractures in children based on the amount of displacement and the fracture
pattern seen on the initial radiographs. Type I is nondisplaced and does
not interfere with knee extension. The type II fracture has a posterior
hinge with the anterior portion being elevated. In this type, knee extension
is generally limited, and there is a possibility that the anterior horn
of the meniscus is caught under the anterior fracture fragment. A type
III fracture is fully displaced, usually with the knee held in a mildly
flexed position.
SIGNS AND SYMPTOMS:
- Physical findings in acute injury include pain, effusion from associated
hemarthrosis, and reluctance to bear weight.
- Extremes of motion are limited because of increasing pain.
RADIOGRAPHIC FINDINGS:
- Adequate AP and Lateral x-rays are essential to evaluate the degree
of displacement of the anterior tibial spine.
- Fracture is best seen on the lateral radiograph.
- A displaced osteochondral fragment from the patella or femoral condyle
may simulate a fracture of the tibial spine.
- If an MRI study is done, a concomitant partial tear of the ACL may
be noted in some cases.
MANAGEMENT:
- Type I fractures can be treated using long leg cast immobilization
in a few degrees of knee flexion for 5-6 weeks.
- in Type II fractures, with the child under general anesthesia,
the knee is hyperextended to attempt fracture reduction by forcing the
elevated anterior portion of the fracture fragment back into place through
the contact pressure of the femoral condyles. Afterward the knee is brought
back to a position of a few degrees of flexion for long leg cast immobilization.
Casting in full extension or hyperextension should be avoided to prevent
excessive popliteal artery stretch and a resultant lower leg compartment
syndrome. If this closed maneuver is unsuccessful, operative reduction
is needed.
- Operative reduction is indicated for all Type III fractures.
- The goal for operative treatment is to remove the soft tissue(usually
the meniscus and blood clot) that is blocking reduction and to secure the
reduction.
- A cast is used following this reduction and minimal internal fixation.
- Reduction can be accomplished by either arthroscopic means or by a
limited anteromedial or anterolateral arthrotomy.
- A nonabsorbble suture can be woven through the ACL and out the distal
end of the tibial spine fragment to strengthen the repair.
- After reduction and fixation, a long-leg cast is applied with the knee
in neutral or slight flexion for 6-8 weeks.
PROGNOSIS AND COMPLICATIONS:
- With appropriate treatment, follow-up results are very good. Nonunion
is rare. -Although mild, asymptomatic laxity of the ACL is often present
after the final healing of the fracture. This is why most advocate countersinking
the tibial spine fragment during reduction
REFERENCES:
- Baxter, M.P.; Wiley, J.J. Fractures of the tibial spine in children.
An evaluation of knee stability. J Bone Joint Surg 70-B:228-30, 1988.
- 2)Fyfe, I.S.; Jackson,J.P. Tibial intercondylar fractures in children:
A review of the classification and treatment of malunion. Injury 13:165-169,
1981.
- 3)Meyers,M.H.; McKeever,F.M. Fracture of the intercondylar eminence
of the tibia. J Bone Joint Surg 41 -A: 209-222, 1959.
- 4)Meyers,M.H.; McKeever, F.M, Follow-up notes. Fracture of the intercondylar
eminence of the tibia. J Bone Joint Surg 52-A: 1 677-1684, 1970.
- 5)Nichols, J.N.; Tehranzadeh, J. A review of tibial spine fractures
in bicycle injury. Am J Sports Med 15:172-174, 1987.