PEDIATRIC ACETABULAR FRACTURES

JEFFREY J. METER, M.D., Resident, Orthopaedic Surgery

RICHARD KRUSE, D.O., Attending, Pediatric Orthopaedic Surgery

November 25, 1995

CLINICAL CASE PRESENTATION

THE ALFRED I. DUPONT INSTITUTE

WILMINGTON, DELAWARE

History:

The patient is a 16 year old female that was previously in good health when she was involved in a roll-over motor vehicle accident as an unrestrained passenger, ejected from the vehicle. She landed in a field. She was taken by ambulance to a nearby hospital and later transferred to the A.I. duPont Institute for definitive treatment of a right acetabulum fracture, right pelvic fracture, and non-displaced left clavicle fracture. After evaluation with General Surgery for this multiple trauma victim, the patient's medical problems were isolated to the right hip and pelvis. She was hemodynamically stable with a benign abdomen. Although the pelvis grossly appeared stable, motion of the hip caused significant pain. The limb was intact neurologically and had strong pulses.

Radiographs:

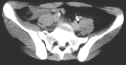
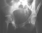
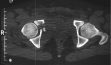
Radiographs revealed a vertical buckle fracture of the right inferior sacrum, oblique fractures of the superior and inferior rami on the right and a fracture through the medial acetabulum. Obturator and iliac oblique inlet and outlet pelvic views, and a thin cut CT with 3-D reconstruction of the acetabulum were performed. These elucidated a comminuted anterior wall with fracture line extending to the posterior column. The posterior column was non-displaced. The pelvic fracture was non-displaced.

Assessment:

  1. Right T-shaped acetabular fracture with anterior wall comminution.
  2. Right pelvic fracture, lateral compression, displaced ;5 mm.

Treatment:

Bed rest for five days, with progressive ambulation, toe-touch, on crutches.

FRACTURES OF THE ACETABULUM IN CHILDREN

Anatomy / Epidemiology

The acetabulum is cup-shaped, with the base of the cup flat and composed of the triradiate cartilage (ilium, ischium, and pubis). Three secondary centers around the acetabulum can be of importance. The os acetabuli forms the anterior wall, the acetabular epiphysis forms the superior wall, and the ischial epiphysis is inferiomedial. The volume of cartilage in the child's acetabulum allows a greater capacity for energy absorption than in adults. Thus, in children, fractures of the acetabulum are consistently the result of high-energy trauma. In addition the cartilage can make the diagnosis of fracture more difficult and can result in growth disturbance about the acetabulum.

The incidence of acetabular fractures is not knowN. Recent studies at Level I trauma centers have shown an admission rate for pelvic and acetabular fractures of .5 - 7.5 %.

Classification

There is no classification of children's acetabular fractures, so we must use Letournel and Judet and Salter-Harris. Letournel and Judet

A. Posterior wall fracture. B. Posterior column fracture. C. Anterior wall fracture. D. Anterior column fracture. E. Transverse fracture. F. Posterior column and posterior wall fracture. G. Transverse and posterior wall fracture. H. T-shaped fracture. I. Anterior column and posterior hemitransverse fracture. J. Both column fracture.

Management

INITIAL: Because of the strong association of pediatric acetabular fractures with high-energy trauma, these patients should be transferred initially to a trauma center. Management should initially be directed at a full primary and secondary ATLS survey, to include large bore IV access and search for related injuries: intra-abdominal, GU, intrathoracic, intracranial fractures of the femur, skull, ribs, tibia, clavicle, facial bones, humerus

RADIOGRAPHIC: cervical, chest , AP pelvis, 45 degree oblique view of Judet - obturator and iliac oblique to assess anterior column and posterior columns, respectively

COMPUTED TOMOGRAPHY: R/O intra-articular loose fragments, Plan for surgery.

HIP ARTHROGRAM in young children in which hip fracture/dislocation suspected Roof arc measurements

(Matta, et al.) Measurement of intact cartilage medially, anteromedially, and posteromedially to vertex of acetabulum. Medial roof arc - A P, Anterior roof arc - obturator oblique, Posterior roof arc - iliac oblique, If the medial roof arc is less than 30 degrees, subluxation occurs

ACETABULAR FRACTURE SPECIFICALLY

Non-operative

Heeg, et al. Non-displaced or 1 mm: Bed rest, non-weight bearing ambulation (monitored). Reducible with traction to 2 mm: skeletal traction (distal femur)

Matta, et al. {(1 or 2) and 3}

  1. The presence of apparent congruence in both column fractures
  2. The presence of an adequate dome by roof arc measurements . -anterior roof arc greater than or equal to 30 degrees, -medial roof arc greater than or equal to 40 degrees, -posterior roof arc greater than or equal to 50 degrees .
  3. The femoral head must remain congruous with the roof of the acetabulum with the patient out of traction

OPEN REDUCTION, INTERNAL FIXATION

Indications

Involves weight-bearing surface, 2 mm displaced or an unstable posterior wall fracture/dislocation

Approaches

Posterior wall: Kocher-Langenbeck Anterior column: ilioinguinal Transverse and combined: extended iliofemoral or combined approach

Fixation

Most fractures need just lag screws may use 3.5 or 2.7 recon plates

Complications

Early: DVT, neurovascular injury, associated injuries. Late: premature closure of the triradiate cartilate which leads to a small deep acetabulum joint degeneration, femoral subluxation, AVN

Expected Results

Heeg, et : 23 acetabular fractures in children, age 2-17 years, F/U 8 years, 21 good or excellent results. Conservative gave good results when minimal displacement, stable posterior fracture/dislocation, and Salter-Harris I and II injuries.

Comminuted fractures and Salter-Harris 5 injuries gave worse results - operated or not

Unstable posterior fracture-dislocations and central fracture-dislocations need surgery

REFERENCES:

  1. Bond, S.I.; Gotschall, C.S.; Eichelberger, M.R. Predictors of abdominal injury in children with pelvic fracture. J Trauma 31:1169-1173, 1991.
  2. Letournel, E.; Judet, R. Fractures of the Acetabulum. Berlin, Springer Verlag, 1981.
  3. Matta, J.M.; Mehne, E.K.; Roff, R. Fractures of the acetabulum: Early results of a prospective study. Clin Orthop 205:241-250, 1986.
  4. Matta, J.; Anderson, L.; Epstein, H.; and Henricks, P. Fractures of the acetabulum. A retrospective analysis. Orthop. Trans. 6(3), 1982.
  5. Ponsetti, I.V. Growth and development of the acetabulum in the normal child. J Bone Joint Surg 60-A:575-585, 1978.
  6. Quinby, W.C., Jr. Fractures of the pelvis and associated injuiries in children. J Pediatr Surg 1:353-364,1966.
  7. Reed, M.H. Pelvic fractures in children. J Can Assoc Radiol 27:255-261, 1976.
  8. Swiontkowski, M.F. Fractures and dislocations about the hip and pelvis. In: Swiontkowski, M.F. and Green, N.E. Skeletal Trauma in Children. Philadelphia, W.B. Saunders, 1994, pp.307-343.