CHONDROECTODERMAL DYSPLASIA
TIMOTHY P. DOMER, D.O., Orthopaedic Surgery Resident
WILLIAM MACKENZIE, M.D. Pediatric Orthopaedic Surgery Attending
February 14, 1996
CLINICAL CASE PRESENTATION
ORTHOPAEDIC DEPARTMENT
THE ALFRED I. DUPONT INSTITUTE
WILMINGTON, DELAWARE
CASE HISTORY:
A 6-month old Amish infant female was referred for symmetric polydactyly
of both hands. Prior to her presentation in our clinic she was seen and
evaluated by a cardiologist for an apparent congenital heart murmur. There
is no history of duplicate digits in either parent, however, there is a
positive family history of the Ellis-van Creveld Syndrome in a third cousin.
PHYSICAL EXAM:
On physical examination of the upper extremities there was a sixth digit
on the ulnar border of both hands. The finger nails appeared to be dysplastic.
The remaining physical exam revealed a midline cleft in the upper lip.
The upper and lower extremities were shortened out of proportion to the
trunk, and the shortening in the lower extremities isolated to the tibial
segments.
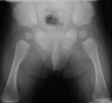
RADIOGRAPHS:
Plain x-ray's showed a sixth metacarpal and phalanx on the ulnar border
of both hands
.
The distal phalanges are shortened relative to the proximal and distal
segments. The pelvis
has
small, squared iliac crests with spikes of bone at the triradiate cartilages.
The tibial segments
are
disproportionately shorter than the femoral segments.
DISCUSSION:
Epidemiology
Chondroectodermal dysplasia, also known as the Ellis-van Creveld Syndrome,
is an autosomal recessive skeletal dysplasia that results in short-limbed
disproportionate dwarfism. The disorder was first described in 1940 by
Ellis and van Creveld . The term chondroectodermal is used to describe
the types of tissues involved in the disorder, mainly that involvement
of the long bones of the skeleton, nails and teeth. The term mesoectodermal
dysplasia was once proposed to include the 60% incidence of congenital
heart disease that occurs in association with the disorder.
The Ellis-van Creveld syndrome most commonly occurs in the Amish of
Lancaster, Pa. but is not isolated to this group, with the incidence being
approximately 5 or more per 1000 live births and 2 per 1000 living persons.
The disorder has also been described in English, Dutch, Jewish, Turkish,
French-Canadian and a few other persons. No case had been described in
the Amish of Ohio, Indiana, or other Amish areas at the time of an extensive
search performed by McKusick, et al.
The genealogy of the disorder in the Amish of Lancaster, Pa. can be
traced back to the immigrants Samuel King and his wife.
Clinical Features
- Post-axial polydactyly in the hands, i.e. an extra finger lateral to
the normal fifth finger, is a consistent finding. Polydactyly in the feet
is a rare finding.
- The bone dysplasia is characterized by acromesomelia, i.e. relative
shortening of the distal (acromelic) and middle (mesomelic) segments, as
opposed to the proximal (rhizomelic) segments. This is especially demonstrated
in the hand, where the distal and middle phalangeal segments are proportionately
shorter than the proximal segments, which may interfere with the ability
to make a tight fist.
- There may be a valgus deformity of the knees that develops, frequently
progressing and causing a significant malalignment.
- The nails of the fingers and toes are dysplastic
- The lip deformity, often referred to as a "partial hairlip",
results from an abnormally short upper lip which may also be sunken secondary
to hypoplasia of the maxilla.
- The teeth are affected, with eruption occurring at birth or shortly
thereafter.
- Congenital heart defects may include hypoplasia of the aorta, atrial
and ventricular septal defects, and a single atrium
Radiographic Features
- As mentioned previously, the shorter distal and middle phalangeal segments
in relation to the proximal phalangeal segments.
- Multiple variations of carpal fusions, with the most common between
the hamate and a ninth carpal bone.
- Characteristic features of the pelvis includes:
- small iliac crests and sciatic notches
- originating from the triradiate cartilage a distally directed spike
of bone
- The proximal tibial epiphysis has a growth failure which results in
a valgus deformity of the knee
- The fibula is disproportionately shorter than the tibia
Treatment of orthopaedic problems
Polydactyly (surgical treatment usually between 6 mo.-1 yr.)
- type I -- extra soft tissue mass not adherent to skeleton and devoid
of bone, cartilage, joint or tendon: usually can be treated in the nursery
by tying off the base
- type II -- digits may show duplication with normal components, e.g.
bifid metacarpal: treatment usually more complicated, with removal of
extra tissue and correction of the deviated digit
- type III -- complete digit with its own metacarpal and all soft tissues:
excision of the digit and usually the metacarpal to narrow the hand
Genu valgum
- if deformity is greater than 15-20 degrees, realignment osteotomy is
indicated
REFERENCES:
- Bassett, G.S. The osteochonrodysplasias. In Lovell and Winter's
Pediatric Orthopaedics, 4th ed. p.203 Philadelphia: Lippincott-Raven
Publishers, 1996.
- Dobyns,J.H., Wood, V.E., Bayne, L.G. Congenital hand deformities. In
Operative Hand Surgery, 3rd ed. p.251, New York: Churchill Livingston
Inc., 1993.
- Ellis, R.W.B., Andrew, J.D. Chondroectodermal dysplasia. J Bone Joint
Surg 44-B: 626, 1962.
- Kaitila, I.I., Leisti, J.T., Rimoin, D.L. Mesomelic skeletal dysplasias.
Clin Orthop 114: 94, 1976
- McKusick, V.A., Egeland, J.A., Eldridge, R., Krusen, D.E. Dwarfism
in the Amish: I. the Ellis-van Creveld syndrome. Bull. Johns Hopkins Hosp.
115: 306, 1964.
- Taylor, G.A., Jordan, G.E., Dorst, S.K., Dorst, J.P. Polycarpaly and
other abnormalities of the wrist in chondroectodermal dysplasia: the Ellis-van
Creveld syndrome. Radiol 151: 393, 1984.