SPONDYLO-EPI-METAPHYSEAL DYSPLASIA WITH JOINT LAXITY
(SEMDJL)
Masafumi Homma, M.D.,D.M.Sc, Research Fellow of Orthopaedic Surgery
Dan Mason, M.D., Attending of Pediatric Orthopaedic Surgery
August 24, 1995
CLINICAL CASE PRESENTATION
ORTHOPAEDIC DEPARTMENT
THE ALFRED I. DUPONT INSTITUTE
WILMINGTON, DELAWARE
CASE HISTORY:
- HISTORY: MSG is a 28 year old female who was born in 1967. She was
the product of 42 week gestation without complilcations. Her birth weight
was 7 lbs (3.2 kg), length 18-1/2" (47 cm). At birth she was found
to have bilateral clubfeet, bilateral dislocaton of the hips. Casts were
applied to the feet and hips for the first 13 months of age at another
hospital . The developmental milestones were delayed. She pulled up and
walked without help at 20 months. At 7 years of age, she underwent a posterior
spine fusion with halo traction from T-1 through L-4 in May 1974 and in
June 1974 had an occipital to C-3 fusion at at another hospital. At that
time, the diagnosis was considered as diastrophic dwarfism. She was admitted
to the A.I. duPont Institute for augmentaion of the posterior spine fusion
in 1976 at 9+3 years of age. A Milwaukee brace was used as well. A bilateral
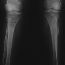
intertrochanteric varus osteotomy was done in 1978 at 11+6 years of age(pre-op
and post-op
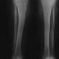
Xrays). She had derotational osteotomies of bilateral tibia for valgus
recurvatum defomities in 1985 at 18+6 years(pre-op
and post-op
Xrays). Her current problem has been severe painful bunions of the distal
first MP joint.
- PHYSICAL EXAM:When examined in 1993, at the age of 26 years, she was
111.6cm in height and 34.6 kg in weight. Her intelligence was mildly retarded.
Her eyes, and teeth were normal. But the palate was high. Neck was about
10 degrees in flexion and extension. Hip was in 25 degrees flexion contracture
bilaterally. She also had elbow flexion contractures. There was minimal
ability to pronate and supinate her forearms. Marked laxity in her hands
and finger joints. Her feet showed bilateral pes planus, marked hallux
valgus with tender bunions on the distal first MP joints. Neurological
examinations were intact. She can walk with waddling gait.
Her parents were unrelated, non-consanguineous. No disproportonate short
stature nor any intrinsic bone dysplasia in family history. Her two siblings
are healthy. Her mother is an immigrant from Italy.
ETIOLOGY:
- -Beighton and Kozlowski in Cape Town South Africa (1980) first described
the 7 patients with a distinctive form of SEMD with joint laxity and severe
scoliosis.
- -Eight out of 13 affected families clustering in South Africa had ancestral
links with two females who had multiple marriages and cohabitation in the
Holy Roman Empire during 17 and 18 centuries.
- -This and other findings of affected sibs support autosomal recessive
inheritance.
- -Identification of the chromosomal locus of the faculty gene, especially
type II colagen gene, is now being investigated.
CLINICAL MANIFESTATIONS:
- Consistent Features
- Dwarfism
- Articular hypermobility
- Spinal malalignment(progressive kyphoscoliosis)
- Thoracic asymmety
- Elbow deformity (bilateral dislocation of the radial heads)
- Foot deformity (bilateral talipes equinovarus)
Characteristic but Variable Features:
- Facies : oval face, long upper lip, protuberant eyes, scleral blueing
- Hands : spatulate terminal phalanges especially of the thumbs gross
joint laxity permitting abnormal positioning
- Skin : soft doughy texture with some hyperelasticity
Inconsistent Features:
- Cleft palate, High palate, Cardiac defect, Genu valgus, Congenital
dislocation of the hips
Radiographic features:
- Mild spondylo-epi-metaphyseal dysplasia, metaphyses are widened with
an abnormal trabecular pattern.
- Broad distal phalanges
- Hypoplasia of the facial bones
- Severe progressive kyphoscoliosis(minimal or absent at birth)
- Some narrowing of the interpedicular distance
- Narrow elongated sacrum and coccyx
- Large iliac wings with small hypoplastic iliac bodies, and poorlyformed
acetabula
- Small capital femoral epiphyses, Dislocation of the hips, Coxa valga
- Atlantoaxial subluxation has not been well investigated yet.
Differential Diagnosis:
- Metatropic Dysplasia Long trunk during infancy, Expanded large joints
: the long boneshave a dumpbbell shape. Epi-metaphyseal changes are much
more severe. Kyphoscoliosis is very similar to that seen inSEMDJL.
- SED cong.or SMD The metaphyses are normal in the former, the epiphyses
in the latter. Severe coxa vara in SED cong. In both, kyphoscoliosis is
seldom of a severe degree.
- Diastrophic Dysplasia Hitch-hiker thumb, Cauliflower deformity of the
ears, Talipes equinovarus extreamely resistant to cast treatment
- Larsen Syndrome Dish face, Lack of epiphyseal metaphyseal abnormalities
- Ehlers-Danlos syndrome Tissue fragility
Treatment:
- A high proportion of affected children die of cardiorespiratoryfailure
during the first decade. If kyphoscoliosis progresses despite bracing,
early posterior and/or anterior spinal fusion must be considered. Preoperative
pulmonary function studies are important. Fusion in situ is preferable.
- Atlantoaxial instability measuring more than 5 mm requires posterior
surgical stabilization sometimes including fusion to the occiput.
- Intertrochanteric varus osteotomy, tibial osteotomy etc. may be indicated
from case to case.
References:
- Bassett G S, Scott C I Jr: The Osteochondrodysplasia, Lovell and Winter's
pediatric orthopaedics 3rd Edition . Philadelphia. Lippincott Company,
1990.
- Beighton P, Kozlowski K: Spondylo-epi-metaphyseal dysplasia with joint
laxity and severe, progressive kyphoscoliosis. Skeletal Radiol.5 : 205-212,
1980.
- Beighton P, Kozlowski K, Gericke G et al.: Spondylo-epimetaphyseal
dysplasia with joint laxity and severe, progressive kyphoscoliosis. S.
Afr. Med. J. 64: 772-775,1983.
- Beighton P, Gericke G, Kozlowski K et al.: The manifestaions and natural
historh of spondylo-epi-metaphyseal dysplasia with joint laxity. Clin.
Genet. 26: 308-317, 1984.
- Torrington M, Beighton P: The ancestry of spondyloepimetaphyseal dysplasia
with joint laxity (SEMDJL) in South Africa. Clin. Genet. 39: 210-213,1991.