AVASCULAR NECROSIS OF THE HIP IN SICKLE CELL DISEASE
JOSEPH P. BOGDAN, M.D., Resident, Orthopaedic Surgery
KIRK W. DABNEY, M.D., Attending Pediatric Orthopaedic Surgeon
April 17, 1996
CLINICAL CASE PRESENTATION
ORTHOPAEDIC DEPARTMENT
THE ALFRED I. DUPONT INSTITUTE
WILMINGTON, DELAWARE
Case History:
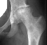
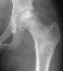
M.L. was diagnosed as having sickle cell anemia during early childhood.
She experienced two major crises each year, treated with hydration and
pain medication. She was first seen at age 9 following a crises with concomitant
left hip pain
.
Bone scan was also obtained which demonstrated a cold area. Treatment consisted
of activity restriction and partial wt. bearing.
F/U age 14 with a 2mo. history of left hip pain, aggravated with activity.
Clinical findings were not suggestive of infection. She was diagnosed with
AVN of the left femoral head. Management consisted of NSAIDS, restricted
wt. bearing.
Two months later she under went a left hip core decompression and bone
grafting without problem
.
Rehabilitation was steady maintaining a restriction on wt. bearing and
encouraging range of motion. She had a significant decrease in her pain
although the radiographs showed progressive collapse.
Four years later, she is able to ambulate without any aids but complains
of a dull ache in her left hip and a limitation in rotation
.
Sickle Cell Disorders
- Sickle Cell Trait - Heterozygous for hemoglobin S and a normal B-globulin
chain.
- Sickle Cell Disease - Homozygous for hemoglobin S (SS).
- Variants :
- Sickle Cell C (SC)
- Sickle Cell B-thalassemia
- Rare combinations
Hemoglobin S
- Mutant of Hemoglobin A - Valine substitutes for glutamic acid at the
6th position of the B-globulin gene on chromosome 11.
- Hemoglobin S Gene - Common in the black race ( 8 - 10 % of U.S. black
population has sickle-cell trait)
- Hemoglobin S - Under conditions of low oxygen tension or reduced blood
flow HgbS polymerizes and causes sickling of the erythrocyte.
Clinical Considerations
- Chronic Hemolytic Anemia
- Chronic Organ Damage
- Anemic Crisis
- Vaso-Occlusive Crisis
- Systemic Manifestations:
- Increased susceptibility to infection
- Impaired Growth
Musculoskeletal Manifestations
- Infarction
- Marrow Hyperplasia
- Spontaneous Fracture
- Growth Disturbance
- Osteomyelitis
- Arthritis (septic-reactive)
- Dactylitis
Dactylitis ( Hand + Foot Syndrome )
- Age: 6 - 12 mo.
- Sx.: Hand or foot pain and swelling
- R/O osteomyelitis
- 74% by 2wks. will demonstrate xray changes (infarction)
Osteomyelitis
- Salmonella sp. (most common)
- Staphylococcus aureus
- Hemophilus influenza
- Escherichia coli
Radiographic Findings
- Skull:
- Thickening of the calvarium
- Widening of the diploic space
- Granular appearance
- Vertebra:
- Central endplate compression
- "step - deformity"
- Long Bones:
- Thinning of cortex
- Widening of the medullary canal
- Periosteal elevation
- Residual ossification
- Dense amorphous chalky zones ( Infarcts )
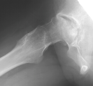
Avascular Necrosis:
Intravascular sickling of RBC in the micro - circulation of the bone
results in intramedullary sludging, stasis, thrombosis, destruction of
the vessel walls, edema, and progressive ischemia.
- Avascular Necrosis of the Femoral Head
- Common in sickle cell disease
- Increased incidence in sickle cell hgb C disease
- Milner etal. : overall prevalence of 9.7%
- Reports vary: Bishop etal. 19% - 31%
- Many have bilateral hip involvement
- Prognosis: Young children have a reasonable potential for healing avascular
necrosis, while the older adolescent with total head involvement will likely
need intervention.
- Symptoms
- Pain: Bone crisis vs. avascular necrosis vs. osteomyelitis
- Pathologic changes in the femoral head
- Osteochondritis dissecans
- Coxa vara
- Spontaneous fracture
- AVN located only in the epiphysis
- Radiological Changes (Chung etal)
- Group 1 - < 8yo similar to Legg-Calve-Perthes
- usually regenerate without significant disability, prognosis is worse
in the older adolescent
- Group 2 - Resembles osteochondritis dissecans
- poor healing
- Group 3 - Massive necrosis; adult patient
- Staging of Osteonecrosis
- Ficat stages (1-4)
- Steinberg stages (1-6) and degree of involvement (A,B,C)
- MRI: Define the extent of the osteonecrosis
Treatment
- Conservative: Bed rest, traction, nonweight-bearing, bracing, and physiotherapy
- Femoral Osteotomy
- Pelvic Osteotomy
- Core Decompression
- Hip Arthrodesis
- Total Hip Arthroplasty
- Core Decompression
- Core decompression for the treatment of avascular necrosis of the hip,
even with no collapse and minimal sclerosis, has not been as successful
in adolescents with sickle cell disease as it has been in patients with
idiopathic avascular necrosis.
- Total Joint Arthroplasty
- Clarke etal.(1989) - 59% revision rate at 5.5yrs.
- Bishop etal.(1988) - Increased risk for infectious complications
- Hanker etal.(1988) - High post-op morbidity
- The risk - to - benefit ratio of this procedure should be assessed
carefully for each patient
- Intraoperative Considerations
- Hydration
- Oxygenation
- Maintain blood volume
REFERENCES:
- Chung SMK, etal.: Management of osteonecrosis in sickle-cell anemia
and its genetic variants. COOR 130:158,1978.
- Bennett OM, etal.: Bone and joint manifestations of sickle cell anemia.
JBJS. 72B,494,1990.
- Bishop AR, etal.: Total hip arthroplasty in patients who have sickle
cell hemoglobinopathy. JBJS. 70,853,1988.
- Clarke HJ, etal.: Total replacement of the hip for AVN in sickle cell
disease. JBJS. 71B,465,1989.
- Hanker GJ,etal.: Osteonecrosis of the hip in the sickle cell diseases.
JBJS. 70,499,1988.
- Milner PF, etal.: Sickle cell disease as a cause of osteonecrosis of
the femoral head. NEJM.,325,1476;1991.
- Niemann KMW, : Lovell + Winter , Vol.1 , 263-296.