Module 23, General Medical Level

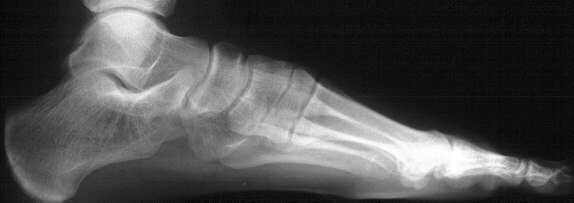
This a 13 year old white female complains of left foot pain. The pain has been present for approximately 2 years. There is no specific history of a traumatic event. The pain is primarily at the lateral aspect of the foot and is worse at the end of the day. The pain is somewhat relieved by rest. The left foot is without swelling. It is tender in the anterolateral aspect of the foot. Ankle motion is normal. Subtalar motion is significantly limited.


Question 23A

Because there is no trauma, the work up should proceed with a rheumatoid screen and MRI.


Question 23B

Since the pain is relieved by rest, this is most likely an over use syndrome.


Question 23C

A bone scan should be obtained to rule out a stress fracture.


Question 23D

Because this involves only the left foot it likely is a benign tumor.


Question 23E

This is most likely a congenital deformity of the tarsal bones.


Go to Next Question Module, Go to General Orthopaedist Level Modules, Go to Question Module Home Page, Go to Case Presentation Home Page, Orthopaedic Department Home Page.