
![]()
At
this age the most common bone problems are minor episodes of bone
pain or infections.
![]()
The
amount of pain, the level of the temperature, and the results
of the bone scan all are helpful in ruling
out infection as cause.
![]()
A
cold bone scan is conclusive evidence that this is a bone infarction.
![]()
The
genetic syndrome of sickle cell disease has been identified on
chromosome 11.
![]()
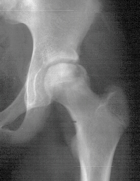
The
concern about avascular necrosis of the hip at this age with a
cold bone scan suggests that she should be placed on crutches
until a clear documentation of the severity of the bone involvement
can be ascertained.
Go to Next Question Module, Go to General Orthopaedist Level Modules, Go to Question Module Home Page, Go to Case Presentation Home Page, Orthopaedic Department Home Page.