ANTERIOR CRUCIATE LIGAMENT TEARS IN CHILDREN
JEFF GUTTMAN, MD, Resident, Orthopaedic Surgery
Brian Galinat, M.D., Orthopaedic Surgeon
April 1, 1996
CLINICAL CASE PRESENTATION
ORTHOPAEDIC DEPARTMENT
THE ALFRED I. DUPONT INSTITUTE
WILMINGTON, DELAWARE
Case History:
The patient is an 8 year old white male with no significant past medical
history who complains of right knee pain, swelling, and decreased range
of motion after having his knee slammed in a car door 5 weeks prior to
presentation. At the time of injury, the patient was seen in the Emergency
Room where X-rays were negative, and the patient was told he had a contusion
of the knee. Patient denies locking of the knee, but gives a questionable
history of "giving way" of the knee. It is unclear whether these
episodes are truly secondary to instability. On physical examination, the
patient has a small effusion. There is no medial or lateral joint line
tenderness. There is no tenderness around the collateral ligaments. Range
of motion is 30-90 degrees. There is no instability to varus or valgus
stressing at 0 degrees and 30 degrees. MacMurray test is negative. Lachman
test shows a slight increase in laxity compared to the contralateral side,
but with an endpoint. Anterior drawer test also shows a good endpoint.
Posterior drawer is negative. KT-1000 testing was equal on both sides.
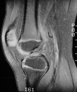
The patient was sent for physical therapy and an MRI to rule out ligament
or meniscal injury. MRI was read by radiologist as anterior cruciate ligament
tear and small medial meniscal tear
.
When the patient was seen one month later, he had full range of motion
of the knee. There was still a slight increase in laxity on Lachman test,
but again with an endpoint. KT-1000 testing was again equal on both sides.
Patient was told he could resume participation in sports and to return
if he experienced any further symptoms.
Incidence
- Very uncommon injury in children with open physis
- Occurs much less commonly in children than adults (~1.5% of all ACL
ruptures)
- Distal femoral and proximal tibial physeal fractures are commonly associated
with ACL injuries
- Increasing incidence likely related to increased participation in vigorous
sports, increased incidence of multiple trauma, increased awareness among
physicians
Anatomy
- Ligaments are stronger than physis
- In children, collagen fibers of ACL are continuous with perichondrium
of epiphyseal cartilage
- In adults, ligament inserts directly into bone by way of Sharpey's
fibers
- Ligamentous laxity may offer some protection to children (decreases
as approach skeletal maturity)
- Physeal fractures/anterior tibial spine avulsions more common than
ACL injury
Mechanism
- Hyperextension, direct blow, sudden twisting in open field
- In younger children, injury associated with multitrauma (5/9 struck
by motor vehicle)
- As with tibial eminence fracture, bicycle accidents are relatively
common cause
- Adolescents are more likely to sustain during contact sports or sports
where cutting maneuvers while running
Physical Examination
- Effusion
- Diffuse tenderness
- Decreased ROM
- Anterior drawer, Lachman, pivot shift
- Instrumented knee laxity testing (KT-1000) - compare to other side
because degree of inherent laxity
Imaging
- X-ray : Look for physeal fracture; osteochondral fracture; hypoplastic
intercondylar notch and small tibial spine - congenital absence of cruciate
ligaments
- MRI : 97% accurate compared to arthroscopy in diagnosing ACL tears
(ages 14-69, average age 33)
Less accurate in diagnosing tears in children
Conservative Treatment
- No better in children than adults
- Kannus, et al : 8 year f/u. Children with complete ACL tears had poor
results with chronic instability, continuous symptoms, post-traumatic osteoarthritis
- McCarroll and Shelbourne : 40 patients less than 14 years. old with
midsubstance tears. Most patients that were treated conservatively (bracing,
rehab, activity modification) were unable to return to sports. All experienced
recurrent episodes of giving way, effusions, pain.
Operative Treatment
*High incidence of meniscal injury in ACL-deficient knee
*Protect repaired meniscus
*Prevent Degenerative Joint Disease
- Repair does not work
- Primary concern about reconstruction is injury to growth plate and
resultant growth arrest
- Intraarticular vs. extraarticular procedure
*Greater potential risk of growth arrest with intraarticular so some
prefer extraarticular in younger patients.
- Good results with early reconstruction
*McCarroll and Shelbourne
*Lipscomb and Anderson
*Parker and Drez
References
- Andrews, M., Noyes, F., et al.: Anterior Cruciate Ligament Allograft
Reconstruction in the Skeletally Immature Athlete. Am J Sports Med, Vol.
22, No.1, pp. 48-54. 1994.
- 2.Bertin K., et al.: Ligament Injuries Associated with Physeal Fractures
about the Knee. CORR, No. 177, pp. 188-195. July/ August 1983.
- Clanton, T., DeLee, J., et al.: Knee Ligament Injuries in Children.
JBJS, 61-A, No. 8, pp. 1195-1201. December 1979.
- DeLee, J., et al.: Anterior Cruciate Ligament Insufficiency in Children.
CORR, No. 172, pp. 112-8. Jan/Feb 1983.
- Engebretsen, L., et al.: Poor Results of Anterior Cruciate Ligament
Repair in Adolescence. Acta Orthop Scand 1988; 59(6): pp. 684-6.
- Kannus, P., et al.: Knee Ligament Injuries in Children. JBJS, 70-B,
No. 5, pp. 772-6. November 1988.
- Lipscomb, B., Anderson, A., et al.: Tears of the Anterior Cruciate
Ligament in Adolescents. JBJS, 68-A, No. 1. pp. 19-28. Jan 1986.
- McCarroll, J., Shelbourne, K., et al.: Anterior Cruciate Ligament Injuries
in the Young Athlete with Open Physes. Am J Sports Med, Vol. 16, No. 1,
pp. 44-47. 1988.
- Parker, A., Drez, D., et al.: Anterior Cruciate Ligament Injuries in
Patients with Open Physes. Am J Sports Med, Vol. 22, No. 1, pp. 44-47.
1994.
- Polly, D., et al.: The Accuracy of Selective MRI Compared with the
Findings of Arthroscopy of the Knee. JBJS, 70-A, No. 2, pp. 192-8. Feb
1988.
[Orthopaedic Department Home Page,
Resident Education Home Page, Back
to Question Module ,Top(Anterior Cruciate Ligament Tears).
]