AN EARLY SIGN OF AVASCULAR NECROSIS AND LATE LATERAL GROWTH ARREST OF THE PROXIMAL FEMUR IN DEVELOPMENTAL DISLOCATION OF THE HIP

MASAFUMI HOMMA, M.D., D.M.Sc, Research Fellow of Orthopaedic Surgery

JAY KUMAR, M.D., Pediatric Orthopaedic Surgeon

March 13, 1996

CLINICAL CASE PRESENTATION

ORTHOPAEDIC DEPARTMENT

THE ALFRED I. DUPONT INSTITUTE

WILMINGTON, DELAWARE

CASE HISTORY:

A ten year old female presented with a left hip dislocation. She was born by Cesarean-section because of slow progression of labor. The child was not breech and was noted to have a dislocatable hip at birth. There was a negative family history of DDH. An X-ray prior to application of the brace showed the dislocation of the hip. The patient was first seen at AIDI on 9th day. Abduction of the right hip was 80 degrees but left was only 60 degrees. There was a positive Galeazzi sign with the left hip being shorter than the right. X-rays showed a left hip dislocation and right hip subluxation . A Pavlik harness was applied. After two months, the right hip improved but the left hip was still dislocatable. For this, home traction was started. Even after 2 months, the left hip did not reduce. Therefore, an arthrogram, adductor tenotomy and closed reduction was done at 4 months of age. Single hip spica was applied with the hip in 40 abduction and 100 flexion. Eight weeks later an arthrogram was performed and the cast was reapplied with the hip in 35 degrees abduction and 100 degrees flexion.

Four months later, the spica cast was removed and an Atlanta brace was applied. X-rays showed avascular necrosis at ten months of age . At two years of age, the ossification of the left nucleus was still delayed. The leg lengths were equal and the range of motion of the hip was full.

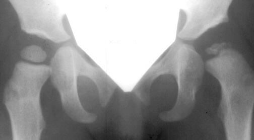
The progression of the hip is documented by x-rays taken at 1 year of age, 2 years of age, 3 years of

age, 5 years of age, 7 years of age, then at ten years of age, early closure of the lateral portion of proximal growth plate observed. Coxa valga was also observed.

Incidence of avascular necrosis of the femoral head in DDH:

Factors related to avascular necrosis in DDH:

The importance of growth plate involvement:

Kalamchi and MacEwen's classification of avascular necrosis in DDH(1980):

Either delay in the appearance of the ossific nucleus or mottling of the ossific nucleus. With revascularization, there is flattening and fragmentation of the shadow of the ossific nucleus, but the head will usually regain its spherical shape. Some femoral heads will show the head-within-head appearance. This is the most common with the best prognosis.

The initial changes in the ossific center may follow exactly those seen in Group I, but in addition there is damage to the lateral part of the physis. The early roentgenographic signs indicating lateral physeal damage are: (1) lateral ossification, (2) lateral physeal irregularity and bridging, (3) lateral notching of the epiphysis, and (4) a lateral metaphyseal defect. The damage to the physis may remain dormant. By the age of ten years, however, valgus deformity of the head on the neck develops.( This type occurred in 35% of total AVN at AIDI.)

The early changes in the ossific nucleus are similar to those observed in Group I and II. The damage to the growth plate is more centrally located. Commonly, patients develop a short femoral neck without varus or valgus. Relative overgrowth of the greater trochanter and limb length discrepancy are the principal problems.

Damage of the entire femoral head and physis are characteristic of this group. Early irregular femoral head with varus, flattening, and coxa magna. Overgrowth of the greater trochanter, limb length discrepancy, and subsequent early arthritis are the principal complications.

Bucholz and Ogden's classification (1978):

Treatment

References:

  1. Borges JL, Jayakumar S, Guille JT: Congenital dislocation of the hip in boys. J Bone and Joint Surg.77-A: 975-983, 1995.
  2. Kalamchi A, McEwen GD: Avascular necrosis following treatment of congenital dislocation of the hip. J Bone and Joint Surg. 62-A: 876-887,1980.
  3. Bucholz RW, and Ogden JA: Patterns of ischemic necrosis of the proximal femur -Nonoperatively treated congenital hip disease. In The Hip: Proceedings of the Sixth Open Scientific Meeting of the Hip Society, pp. 43-63. St. Louis, C.V. Mosby,1978.
  4. Kasser KR, Bowen JR, MacEwen D:Varus Derotation Osteotomy in the treatment of persistent dysplasia in congenital dislocation of the hip. J Bone and Joint Surg. 47-A: 195-202, 1985.
  5. Thomas IH, Dunin AJ, Cole WG, Menelaus MB: Avascular necrosis after open reduction for congenital dislocation of the hip: Analysis of causative factors and natural history. J Pediat Orthop. 9: 525-531,1989.
  6. O'Brien MC, Millis MB, Griffin PP: The early identification and classification of growth disturbances of the proximal end of the femur. J Bone and Joint Surg. 68-A: 970-980,1986.
  7. Jones DA: Sub-capital coxa valga after varus osteotomy for congenital dislocation of the hip: A report of six cases with a minimum follow-up of nine years. J Bone Joint Surg. 59-B:152-158,1977.


[Orthopaedic Department Home Page, Resident Education Home Page, Back to Question Module, Back to Case Presentations,Top(Avascular Necrosis and Growth Arrest)]