CONGENITAL LONGITUDINAL DEFICIENCY OF THE FIBULA

Eric Heimberger, M.D., Resident Orthopaedic Surgery

S. Jay Kumar, M.D., Attending Pediatric Orthopaedic Surgery

September 25, 1995

CLINICAL CASE PRESENTATION

ORTHOPAEDIC DEPARTMENT

THE ALFRED I. DUPONT INSTITUTE

WILMINGTON, DELAWARE

CASE HISTORY:

HISTORY: This is a 1+3 year old female who was the product of a NSVD at 38 weeks gestation without complications. She was one of twins with her sister healthy and without deformity. Soon after birth the patient was noted to have a severe deformity involving the right leg and right foot. Radiographs at that time revealed absence of the fibula on the right with ipsilateral hypoplasia of the femur. There is no family history of similar deformities and no identifiable environmental insult during pregnancy. She is otherwise healthy.

PHYSICAL EXAM: Examination of the right lower extremity demonstrates shortening of the right thigh with a 10 degree flexion contracture present in the knee. The knee is noted to be in valgus. There is moderate anteromedial bowing present in the leg with a dimple present over the anterior aspect of the tibia at the apex of the bow. The foot is held in a position of severe equinovalgus with absence of the lateral two rays noted. There is syndactyly present among the remaining digits. Circulation is normal and skin condition is good. Overall, the right lower extremity is noted to be 5 cm. shortened when compared to the contralateral normal extremity. Attempts at ambulation were limited by the severe deformity present in the right lower extremity.

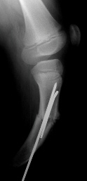
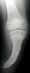
RADIOGRAPHS: Absent right fibula and lateral two rays of right foot with moderate anteromedial bowing of tibia. The right femur was also noted to be shortened.

TREATMENT: The patient initially underwent a corrective tibial osteotomy and Boyd amputation of right foot. The postoperative course was complicated by the development of a nonunion at the osteotomy site necessitating resection of the pseudarthrosis with placement of K-wires. Following this, she did well ambulating with the use of a below-knee prosthesis.

FOLLOW-UP: At 9 years of age the patient was noted to have an increased flexion contracture about the knee with radiographs demonstrating a recurrent valgus deformity. She subsequently underwent a repeat tibial derotational osteotomy with correction of the valgus deformity. Her postoperative course was uncomplicated. Currently she is 17 years old and ambulates well with the use of a custom below-knee PTB prosthesis with a carbon copy foot.

ETIOLOGY/HISTORY:
CLINICAL:
RADIOGRAPHIC:
CLASSIFICATION:

There have been many different classifications developed for CLDF.

Achterman & Kalamchi's classification is most commonly used and will be described.

This classification is useful as a prognostic indicator and for aiding the decision-making process regarding treatment.

TREATMENT:

Type IA

Type IB

Type II

1) predicted LLI greater than 3 inches

2) severely deformed foot that cannot be surgically corrected

3) cosmesis

4) psychologic inability to cope with multiple procedures

REFERENCES:

1) Achterman C, Kalamchi A. Congenital deficiency of the fibula. J Bone Joint Surg. 61B(2):133-137; 1979

2) Boakes JL, et al. Treatment of genu valgus deformity in congenital absence of fibula. J Pediatr Orthop. 11:721-724; 1991

3) Catagni MA, et al. Management of fibular hemimelia using Ilizarov method. Orthop Clin N Am. 22(4):715-722; 1991

4) Choi IH, Kumar SJ, Bowen JR. Amputation or limb-lengthening for partial or total absence of the fibula. J Bone Joint Surg. 72A(9):1391-1398; 1990

5) Grogan DP, Love SM, Ogden JA. Congenital malformations of the lower extremities. Orthop Clin N Am. 18(4):537-554; 1987

6) Epps CH, Schneider PL. Treatment of hemimelias of the lower extremity. J Bone Joint Surg. 71A(2):273-277

7) Letts M, Vincent N. Congenital longitudinal deficiency of the fibula. Clin Orthop. 287:160-166; 1991

8) Lovell and Winter's Pediatric Orthopeadics - 3rd Ed., Vol 2. 1054-1055

9) Miller LS, Bell DF. Management of congenital fibular deficiency by Ilizarov technique. J Pediatr Orthop. 12:651-657; 1992

10) Tachdjian MO (ed). Pediatric orthopaedics. 2nd ed. W.B. Saunders Co. Philadelphia, PA. p. 620-34

11) Wood WL, et al. Congenital absence of the fibula. J Bone Joint Surg. 47A:1159; 1965


[Orthopaedic Department Home Page, Resident Education Home Page, Back to Question Module, Back to Case Presentation Home Page,Top(Congenital Longitudinal Deficiency of the Fibula)]