DISLOCATION OF THE HIP IN CHILDREN WITH DOWN'S SYNDROME
GIUSEPPE SELVA, M.D., Pediatric Orthopaedic Research Fellow
FREEMAN MILLER, M.D., Attending Pediatric Orthopaedic Surgeon
July 25, 1995
CLINICAL CASE PRESENTATION
ORTHOPAEDIC DEPARTMENT
THE ALFRED I. DUPONT INSTITUTE
WILMINGTON, DELAWARE
CASE HISTORY:
PATIENT 1.
- HISTORY: This is a 3 year old female with Down's Syndrome whose mother
noticed clicking in the left hip since age 2. At the age of 4 the patient
developed a limp after falling from a bicycle. She is otherwise healthy
and started walking at 24 months of age. Other significant medical history
includes a recurrent otitis media.
- PHYSICAL EXAM: A full range of motion was noted, with instability of
the hip. The hip was easily dislocated and reduced.
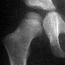
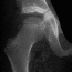
- XRAYS: The pre-operative x-ray, C T scan and operative arthrogram demonstrate
the hip subluxated.
- TREATMENT: At age 5, the patient underwent a left varus derotational
osteotomy, left Dega osteotomy and left posterior capsular plication .
She was maintained in a spica cast for 6 weeks.
- FOLLOW-UP: At twenty-three months post-operative the hardware was removed,
the hip remains stable, the patient has a mild limp and remains pain-free.
PATIENT 2.
- HISTORY: This is a 2.5 year old female with Down's Syndrome whose mother
noticed few episodes of "popping in and out" in the right hip
with adduction and flexion. These episodes were painless and patient had
no limp. She is otherwise healthy and has just started walking. Other significant
medical history includes a persistent minor atrioseptal defect and a reccurent
otitis media.
- PHYSICAL EXAM: A full range of motion was noted, with instability of
the hip. The hip was dislocated with extreme adduction/flexion and easily
reduced.
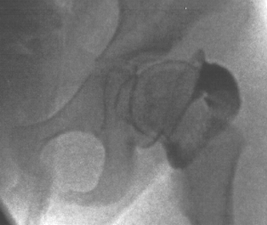
- XRAYS: The pre-operative x-ray demonstrates a seated hip. Intra-operative
arthrogram demonstates dislocation with extreme adduction/flexion.
- TREATMENT: Observation was undertaken for 18 months. As the right hip
became more unstable, with recurrent episodes of dislocation, at age 4
the patient underwent a right Dega osteotomy and right posterior capsular
plication. She was maintained in a spica cast for 6 weeks and in a night
time abduction brace for 6 months.
- FOLLOW-UP: At twenty-five months post-operative the hip remains mildly
unstable, the patient has had few episodes of dislocation (none in the
last year). Patient presents no limp and remains pain-free.
DISEASE PROGRESSION:(Bennet et al, 1982)
- Initial phase (0-2 years).
- Stable but hypermobile hips Acetabulum is well formed and even deeper
than normal.
- (Rarely a child with Down S. presents with DDH.)
- Dislocation phase (2 -10 years).
- Habitual dislocation hips spontaneously begin to dislocate without
trauma.
- Children may present clicking, limping or feeling of giving away. Usually,
pain is not present.
- Acute dislocation Dislocation following a minor trauma. Patients present
with moderate pain, increased limp and reduced activity.
- Hips are easily reducible under anesthesia, but recurrence is common.
- Subluxation phase
- Concentric reduction becomes rarer and dysplasia develops.
- Fixed phase
- The patients can walk with a limp up into the early twenties even in
the fixed dislocated hip phase. Pain is not a major complaint.
SELECTED LITERATURE REVIEW:
- Down's Syndrome is one of the most common causes of handicap. It occurs
in 1.7 of every 1000 live births.
- Congenital heart abnormalities, orthopedic problems, high susceptibility
to infections, G.I. malformations and a relatively high incidence of leukemia
are the main health problems of this condition.
- Orthopaedic problems are usually related to hypotonia, ligamentous
laxity and hyperflexibility of joints. They include pes planus, genu valgum,
dislocation of the patella, scoliosis, spontaneous dislocation of the hip
and instability of cervical spine (also related to abnormalities of C.
spine).
- The occurrence of dislocation of the hip is hard to evaluate because
it can occur throughout the whole life of the patient.
- Anatomy of the hip includes: a thin, weak fibrous capsule such that
dislocation occurs without any tear or detachment, moderate to severe femoral
neck anteversion and a noted deficiency of posterior superior acetabular
rim.
REPORTED POPULATION:
Reference Patients and age % sublux / dislocate
Diamond et al. 265 Pts Children 4.5%
1981 +Adults
Bennet et. al. 220 Pts. 5 to 62 4.5%
1982 y.o.
Aprin et al. 946 Pts childhood 1.3%
1985 *
Hresko et al. 65 Pts 14 to 70 18%
1993 y.o.
*review of records of children with Down S. registered at Children's
Hospital of Boston (age 3 to 13).
TREATMENT RECOMMENDATIONS:
- Closed reduction and immobilization are highly unsuccessful. However
this treatment is still suggested for patients with first-time dislocation.
(Bennet et al., Gore et al., Aprin et al.)
- Surgical treatments include several procedures (performed alone or
in combination):
- - Capsular plication
- - VDRO
- - Acetabular procedures (Salter; Dega, Sutherland, Chiari). Exact surgical
reconstruction reccommendations can not currently be made due to insufficient
data in the literature and limited individual experience.
OUTCOME EXPECTATIONS:
- The overall success rate is about 50%. However, many reported cases
have a short follow-up.
- Bennet et al. reported an infection rate of 19% after surgery. They
also stated that poor results should be expected when surgery is performed
in the "fixed phase" of dislocation.
- THA in adulthood seems effective for pain relief and functional recovering.(Skoff
et al.)
- A normal hip at skeletal maturity does not preclude later subluxation
and dislocation (as previously thought). (Hresko et al. 1993).
- The development of hip dysplasia or dislocation is associated with
loss of function during adult life (degenerative hip disease).
REFERENCES:
1) Aprin H., Zink W. P., Hall J. E. Management of dislocation of the
hip in Down Syndrome. J. Pediatr. Orthop. 5: 428; 1985
2) Bennet G.C., Rang M., Roye D. P., Aprin H. Dislocation of the hip
in trisomy 21. J. Bone Joint Surg. 64-B: 289; 1982
3) Diamond L.S., Lynne D., Sigman B. Orthopedic disorders in Down's
Syndrome. Orthop. Clin. North Am. 12: 57; 1981
4) Gore D. R. recurrent dislocation of the hip in a child with Down's
Syndrome. A case report. J. Bone Joint Surg. 63-A: 823; 1981
5) Hrenko M.T., McCarthy J. C., Goldberg M.J. Hip disease in adults
with Down Syndrome. Journal Bone Joint Surg. 75-B: 604; 1993
6) Shaw E. D., Beals R. K. The hip joint in Down's Syndrome. Clin. Orthop.
278:101; 1992
7) Skoff H.D., Keggi K. Total hip replacement in Down's Syndrome. Orthopedics
10:485; 1987.
[Orthopaedic Department Home Page,
Resident Education Home Page, Back
to Question Module, Back to Case Presentation
Home Page,Top(Dislocated Hip in Down's Syndrome)]