MULTIPLE EPIPHYSEAL DYSPLASIA
Peter J. Curcione, D.O., Resident, Orthopaedic Surgery
Robert P. Stanton, M.D., Attending, Pediatric Orthopaedic Surgery
August 17, 1995
CLINICAL CASE PRESENTATION
ORTHOPAEDIC DEPARTMENT
THE ALFRED I. DUPONT INSTITUTE
WILMINGTON, DELAWARE
Etiology/History:
- .First described by Fairbanks in 1937
- One of the osteochondrodysplasias. Inherited disorder, that is predominantly
autosomal dominant.
- Characterized by abnormal enchondral ossification of multiple physes
and epiphyses of tubular bones.
- Thought to be due to a genetic mutation on chromosome 19 resulting
in imperfect articular cartilage unable to withstand normal cyclic loading.
- Commonly begins with painful or stiff lower extremities.
- Joints are most commonly affected symmetrically. The hip and knee joints
are most frequently affected.
- Irregular epiphyseal and physeal growth, skeletal deformities (coxa
vara, genu valgum or varum), short limb dwarfism and short stubby hands
and feet.
- Can present similar to bilateral Perthes' disease. Must also be differentiated
from hypothyroidism, spondyloepiphyseal dysplasia and pseudoachondroplastic
dysplasia.
- Two forms have historically been described: 1. Ribbing form, milder,
with flat epiphyses and minimal involvement of the hands and feet. 2. Fairbank
form, more severe form, with late appearing epiphyses and greater involvement
of the hands and feet.
Clinical and Radiographic:
- Lower extremity joint pain and stiffness, short stature, short stubby
hands and feet along with a waddling gait are features of MED.
- Patients have normal intelligence.
- Adult height usually range from 145 to170cm.
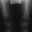
- Limb epiphyses show delayed appearing centers of ossification, often
demonstrating a fragmented appearence. Joint involvement is usually symmetric.
- Premature arthrosis of weight-bearing joints, most frequently the hips,
due to delay in ossification of the capital femoral epiphysis. The cartilaginous
femoral head model becomes misshapen and incongruous with time, leading
to early arthritis.
- Early detection may be possible through family history. Also may done
by radiographic means. Schlesinger outlined distal femoral epiphyseal and
metaphyseal measurements. Poznanski outlined carpal and metacarpal measurements.
Either may be abnormally low (greater than 2 S.D. below normal) in approx.
80% of cases.
- Schlesinger's work demonstrated that the epiphysis tends to be thinner
in these patients
- Avascular necrosis (AVN) of the hip superimposed on M.E.D. has been
reported to occur. These patients can present as Perthes'. Can document
A.V.N. by serial radiographic changes superimposed on a dysplastic epiphysis
or characteristic changes depicted on bone scan and MRI. Asymmetric changes
will be noted on each study.
- Must differentiate M.E.D. from Perthes' disease. M.E.D. is usually
symmetric, does not show the radiographic changes characteristic of Perthes'
over time, not associated with metaphyseal cyst formation. and the acetabulum
is often irregular unlike Perthes'.
Treatment:
Progressive disorder usually leading to osteoarthritis in weight-bearing
joints by the second or third generation of life.
Patients should refrain from contact sports, high impact activities,
(ie. jogging, running).
Weight control should be emphasized early on.
Patients tend to tire easily... they must rest more frequently.
Osteotomies about the knee can be done in order to correct alignment.
Varus osteotomy of the femur should be avoided, as these people tend
to develop a varus deformity and incongruity as a result of this dysplasia.
If AVN is superimposed on M.E.D.. then stretching programs should be
started . No data is yet available on results of surgical containment or
bracing of hips.
Patients will most likely require joint replacement surgery in adulthood.
Bibliography:
1. Treble,N.J.,Jensen,F.O.,Bankier,A.,Rogers,J.G.,Cole,W,G. Development
of the hip in Multiple Epiphyseal Dysplasia. J.B.J.S. 1990; 72-B: 1061-1064.
2. Mackenzie, W.G., Basset, G.S., Mandell, G.A., Scott, C.I. Avascular
necrosis of the hip in Multiple Epiphyseal Dysplasia. J.P.O. 1990; 9: 666-671.
3. Schlesinger, A.E., Poznanski, A.K., Pudlowski, R.M., Millar, E.A.
Distal femoral epiphysis: Normal standards for thickness and application
to bone dysplasias. Radiology. 1986; 159: 515-519.
4. Poznanski, A.K., Hernandez, R.J., Guire, K.E., Bereza, U.L.,
Garn, S.M. Carpal length in children- A useful measurement in the diagnosis
of rheumatoid arthritis and some congenital malformation syndromes. Radiology
1978; 129: 661-668.
5. Ingram, R.R. Early diagnosis of Multiple Epiphyseal Dysplasia. J.P.O.
1992; 12: 241-244.
6. Crossan,J.F. Bilateral failure of the capital femoral epiphysis:
Bilateral Perthes' disease, Multiple Epiphyseal Dysplasia, Psuedoachondroplasia
and Spondyloepiphyseal Dysplasia Congenita and Tarda. J.P.O. 1983; 3:297-301.
7. Stanescu, R., Stanescu, V., Muriel, M., Maroteaux, P. Multiple Epiphyseal
Dysplasia, Fairbank Type: Morphologic and biochemical study of cartilage.
Am. J. Med. Gen. 1993; 45: 501-507.
8. Deere,M., Blanton, S.H., Scott, C.I., Langer, L.O., Pauli, R.M.,
Hecht, J.T. Genetic heterogeneity in M.E.D. Am. J, Hum. Genet. 1995;
56:698-704.
[Orthopaedic Department Home Page,
Resident Education Home Page, Back
to Question Module, Back to Case Presentation
Home Page,Top(Multiple Epiphyseal Dysplasia)]