February 28, 1996
CLINICAL CASE PRESENTATION
ORTHOPAEDIC DEPARTMENT
THE ALFRED I. DUPONT INSTITUTE
WILMINGTON, DELAWARE
HISTORY: A 29 week old gestation male presented with bilateral knee dislocation, left hip subluxation, and right hip dislocation.
PHYSICAL EXAM: Right knee -30 to 20 degrees ROM, Left knee -20 to 20 degrees ; L. hip + Ortolani, R. hip - Ortolani
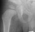
XRAYS: Reveal bilateral knee dislocations
,
and a left hip dislocation
.
TREATMENT: Manipulation, skin traction and splint for knees
Hips were placed in traction for 2 weeks full time, and 6 weeks part-time( 12hr/day). The right hip failed traction: than had an open reduction and varus osteotomy at 1 year of age.
RESULT: ROM: R. knee 0-110 degrees, L. knee 0-120 degrees.; he started
ambulating 18 months with a well reduced femoral head
.
per 100,000 general population; in Denmark 1% of DDH population
Female > Male 10:3 ratio, One-third bilateral, equal right and left
Environmental: Fetal position, increased in Breech
Fetal knee: round condyles, tibial plateau slope 35 degrees posterior
absence or hypoplasia of cruciate ligaments
quadriceps fibrosis acquired
Associated with Larson's syndrome
1. Inspection, limited flexion
2. Ossification proximal tibia, distal femur hypoplastic or absent
3. Ultrasound: obliteration of suprapatellar pouch
Nogi and MacEwen reviewed 27 knee dislocations (17 patients) without associated syndromes
Results: No extensor lag
One patient with recurrent patella subluxation
Austwick and Dandy operated on three knees after 8 weeks casting, ROM -45 to 45deg., ant-lat approach, tongue flap rectus, tight post cruciate release, both patients walked age 18 months, all knees 0-120 degrees ROM.
Bell and Atkins treated 9 knees (5 children) operatively at average 9 months:
Technique: required splitting quads full length, slide to double length V-Y flap. All patients had elongated ACL.
Immobilization in 40 o , further flexion causes skin tightening, short tendoncast change at 3 weeks, flexion increased
20-30 o x 6 weeks, then free ROM.
Results: Extensor lag 30 o 8/9 knees, all patients walking independently. One case skin necrosis due to skin tension: casted at 60 o
Conclusion: dislocation from either primary or secondary muscle imbalance. Neuromuscular disease cause weak flexors, strong extensors: shorten quads. Secondary cause: ant displaced hamstring with ant displaced tibia act as extensors: short quadriceps result.
Recommend: treat knee & foot before hip, do closed hip reduction at time of open knee treatment; can maintain hip and knee reduction with spica cast.
The case presented here illustrates the success of non-operative treatment. The patient exhibited several common findings for congenital knee dislocation to include premature birth and associated hip dislocation. Skin traction was used followed by splinting with resulting normal knee motion followed by treatment of the hips. No complications resulted from this treatment and the patient is a functional ambulator.
Surgery is planned for congenital knee dislocation when failure to progress past 45 o flexion after 8 weeks or unable to reduce dislocation by manipulation or traction. Patients needing surgery have poorer result.
[Orthopaedic Department Home Page, Resident Education Home Page, Back to Question Module, Back to Case Presentation Home Page,Top(Congenital Knee Dislocation)]