IRREGULAR OSSIFICATION OF THE TARSAL NAVICULAR AND TRAUMATIC MIDFOOT PAIN PRESENTING AS KOHLER'S DISEASE OF THE TARSAL NAVICULAR

MILAN S. MOORE, MD, Resident Orthopaedic Surgery

DAN E. MASON, MD, Pediatric Orthopaedic Surgery Attending

February 20, 1996

CLINICAL CASE PRESENTATION

ORTHOPAEDIC DEPARTMENT

THE ALFRED I. DUPONT INSTITUTE

WILMINGTON, DELAWARE

CASE HISTORY:

R.P. is a 3 year old girl who presented to the Orthopaedic Clinic with a complaint of left foot pain exacerbated by bearing weight. Four weeks prior to this visit, the patient's 4 year old sister had jumped onto her left foot during play resulting in pain and an antalgic gait. She had no pain in the left foot prior to this episode. She was evaluated at an outside emergency room where radiographs were remarkable only for radiodensity and collapse of the tarsal navicular. She was given a diagnosis of Kohler's disease and instructed to restrict her activities. The patient continued to have a limp and frequently complained of pain in her left foot, especially after activity. Her father brought her to the A.I. duPont Institute for evaluation.

The patient's physical examination was remarkable only for mild tenderness to palpation in the left midfoot and proximal forefoot. There was no discernible swelling or erythema. There was a full range of ankle and subtalar motion. Pain was exacerbated by passive dorsiflexion of the forefoot.

KOHLER'S DISEASE:

Osteochondrosis of the tarsal navicular was described by Köhler in 1908. It is defined as a clinical condition consisting of:

1) pain in the region of the tarsal navicular, and

2) radiographic changes consisting of increased radiodensity, fragmentation and eventual narrowing of the tarsal navicular.

Clinical features:

- child younger than 6 presenting with midtarsal pain

- Boys & girls, 4:1 in most reported series

- Pain with weight bearing / relieved by rest

- palpable tenderness over navicular

Natural history:

- self limiting

- navicular gradually reconstitutes

Treatment - Williams and Cowell 1981

- 20 patients with Kohler's disease between 1948 and 1975 at this institution

- All became asymptomatic, but type of treatment affected the duration of symptoms

- Treated without casting - symptoms averaged 15.2 months

- Casted - symptoms averaged 3.2 months

- No difference between walking cast and non-wt bearing cast

Etiology - largely unknown, but there are compelling hypotheses:

Karp in 1937 described the pattern of ossification of the tarsal navicular.

- ossific nucleus appears between 18 and 24 months in girls and 30 and 36 months in boys.

- observed that abnormalities in ossification common although Kohler's disease is relatively uncommon

Vascular pattern of the tarsal navicular described by Waugh in 1958 using postmortem Spalteholz injections

- dense perichondrial network of vessels on non-articular surface

- most 5 yr olds had an ossific nucleus supplied by 5-6 arteries

- development of the ossific nucleus usually began from a single artery

- great variability in the duration of the transition from single artery to multiple artery vascularity

Waugh theorized that

- during the vulnerable stage of single vessel supply of the ossific nucleus of the tarsal navicular, disruption of this vessel could produce ischemia, fragmentation of the ossific nucleus with collapse, reactive hyperemia and pain, i.e. Kohler's disease.

- stress at the bone / cartilage interface could disrupt this artery

- tarsal forces are higher in older children because of increased body weight

- therefore, the later the ossific nucleus ossifies, the greater the potential vulnerability of the arterial supply

- could explain sex difference

CLINICAL CASE CONCLUSION:

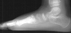
Radiographs of the patient were obtained on her presentation to our clinic. These confirmed the finding of increased radiodensity of the navicular with a flattened appearance to the ossific nucleus. Furthermore they revealed increased density and callus formation in the proximal 1st through 4th metatarsals. This was consistent with multiple non-displaced fractures of the proximal metatarsals secondary to trauma. While Kohler's disease cannot be ruled out in this case, it is more likely that the patient had symptoms produced by her metatarsal fractures. The radiographic appearance of the tarsal navicular almost certainly preceded the acute traumatic event. Therefore, she probably had metatarsal fractures superimposed on irregular ossification of the tarsal navicular giving a clinical picture similar to Kohler's disease.

REFERENCES:

  1. Ferguson, A.B. and Gingrich, R.M., The Normal and the Abnormal Calcaneal Apophysis and Tarsal Navicular, CORR, 1957, 10:87-95.
  2. Waugh, W., The Ossification and Vascularisation of the Tarsal Navicular and Their Relation to Kohler's Disease, J Bone Joint Surg, 1958; 40-B:765-777.
  3. Williams, G.A. and Cowell, H.R., Köhler's Disease of the Tarsal Navicular, CORR, 1981; 158:53-58.


[Orthopaedic Department Home Page, Resident Education Home Page, Back to Question Module, Back to Case Presentation Home Page,Top(Kohler's disease of the Tarsal Navicular)]