RENAL OSTEODYSTROPHY

Brian J. McGinley, M.D., Resident, Orthopaedic Surgery

S. Jay Kumar, M.D., Attending, Orthopaedic Surgery

21 September 1995

CLINICAL CASE PRESENTATION

ORTHOPAEDIC DEPARTMENT

THE ALFRED I. DUPONT INSTITUTE

WILMINGTON, DELAWARE

Case History:

J. G. is a 14 3/12 y.o. boy who presented complaining of pain in his right leg for 9 months and contracture of the right knee which has developed over this period. There is no history of significant trauma. Born 3 weeks premature with bilateral renal hypoplasia and a seizure disorder. Three renal transplants have failed and he currently receives peritoneal dialysis four times a day. Stunted growth and developmental delays during childhood include short stature, standing at 16 months and walking at 2 years. He sustained a right tibia and fibula fracture 6 years prior to presentation after minimal trauma.

PHYSICAL EXAM: 5'4". Poor dentitia, right knee 15 degree flexion contracture, painful ROM of right hip and knee.

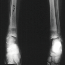
RADIOGRAPHIC EVALUATION: Osteopenia, subcortical resorption, lucent metaphyseal bands, widening of metaphysis and "rugger jersey spine".

MEDICATION: Calcium carbonate and calcium acetate

PATHOPHYSIOLOGY:

Chronic renal failure often results in secondary hyperparathyroidism. The stimulus for elevated PTH is hypocalcemia, acidosis, diminished 1,25(OH)vitamin D and hyperphosphatemia.

CLINICAL FINDINGS:

Stunted growth and bony deformities including bowing of the lower extremities in ambulators. Rachitic rosary and prominent, widened inferior face due to mandibullar and maxillary overgrowth. Bone pain with or without fracture. Ectopic calcifications in the conjunctiva and skin. Slipped capital femoral epiphysis may also occur.

RADIOGRAPHIC:

Early - Osteopenia

Thinning of cortices and trabeculae gives "ground glass" x-ray

Salt and pepper skull

Physeal thickening and fraying of metaphysis, no cupping

Late epiphyseal ossification

Epiphyseal Slips - Preschool age: Proximal and distal femoral and distal tibial

Older Children: Proximal femoral and distal forearm

Late - Secondary hyperparathyroidism

Subperiosteal cortical resorption - Distal phalanx, end of clavicle, ischium, pubis, SI joints, metaphyseal-diaphyseal junction of long bones

Lucent metaphyseal bands - Growth zone changes are the best indicator of severity of secondary hyperparathyroidism

Bowing of long bones

Rugger Jersey spine - Osteosclerosis of the end plates of the vertebral bodies

Brown Tumor (rare) - Rib or jaw

Amyloidosis - Multiple bone cysts: Metacarpals, hip, wrist, prox humerus, pubic rami and proximal tibia.

LABORATORIES:
TREATMENT :

GOALS:

PLAN:

TREATMENT:

PROGNOSIS:

Improved prognosis with dialysis and transplantation has led to prolonged life in these patients. Reversing the osteodystrophy with aggressive pharmacologic intervention can result in more normal growth and activity.

REFERENCES:
  1. Tachdjian MO: Renal Osteodystrophy. In Pediatric Orthopedics. 2nd edition. Ed. Tachdjian MO, Philadelphia: W.B. Saunders Company.1990
  2. Goodman WG et al. Renal Osteodystrophy in Adults and Children. In Primer on the Metabolic Bone Diseases and Disorders of Mineral Metabolism. 2nd edition. Ed. Favus MJ. New York: Raven Press. 1993.
  3. Kaplan FS et al. Renal Osteodystrophy. In Orthopaedic Basic Science. Ed. Simon SR. American Academy of Orthopaedic Surgeons. 1994 .
  4. Hruska KA, Teitelbaum SL. Renal Osteodystrophy: Review article. N Eng. J of Med. 333(3):166,1995.
  5. Kohaut EC. Chronic renal disease and growth in childhood. Current Op. in Ped. 7:171, 1995.
  6. Betts PR, Magrath G. Growth pattern and dietary intake of children with chronic renal insufficiency. Brit. Med. Journal 2:189, 1974.
  7. Fine et al. Growth after recombinant human growth hormone treatment in children with chronic renal failure: Report of a double-blind placebo-controlled study.
  8. Bardin T. Renal Osteodystrophy, disorder of vitamin D metabolism and hypophosphatasia. [Review] Curr Opin in Rheum.

[Orthopaedic Department Home Page, Resident Education Home Page, Back to Question Module, Back to Case Presentation Home Page,Top(Renal Osteodystrophy)]