SPONDYLO-EPI-METAPHYSEAL DYSPLASIA WITH JOINT LAXITY (SEMDJL)

Masafumi Homma, M.D.,D.M.Sc, Research Fellow of Orthopaedic Surgery

Dan Mason, M.D., Attending of Pediatric Orthopaedic Surgery

August 24, 1995

CLINICAL CASE PRESENTATION

ORTHOPAEDIC DEPARTMENT

THE ALFRED I. DUPONT INSTITUTE

WILMINGTON, DELAWARE

CASE HISTORY:

Her parents were unrelated, non-consanguineous. No disproportonate short stature nor any intrinsic bone dysplasia in family history. Her two siblings are healthy. Her mother is an immigrant from Italy.

ETIOLOGY:
CLINICAL MANIFESTATIONS:

Characteristic but Variable Features:

Inconsistent Features:

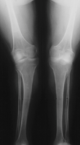
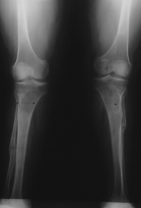
Radiographic features:
Differential Diagnosis:
Treatment:
References:
  1. Bassett G S, Scott C I Jr: The Osteochondrodysplasia, Lovell and Winter's pediatric orthopaedics 3rd Edition . Philadelphia. Lippincott Company, 1990.
  2. Beighton P, Kozlowski K: Spondylo-epi-metaphyseal dysplasia with joint laxity and severe, progressive kyphoscoliosis. Skeletal Radiol.5 : 205-212, 1980.
  3. Beighton P, Kozlowski K, Gericke G et al.: Spondylo-epimetaphyseal dysplasia with joint laxity and severe, progressive kyphoscoliosis. S. Afr. Med. J. 64: 772-775,1983.
  4. Beighton P, Gericke G, Kozlowski K et al.: The manifestaions and natural historh of spondylo-epi-metaphyseal dysplasia with joint laxity. Clin. Genet. 26: 308-317, 1984.
  5. Torrington M, Beighton P: The ancestry of spondyloepimetaphyseal dysplasia with joint laxity (SEMDJL) in South Africa. Clin. Genet. 39: 210-213,1991.


[Orthopaedic Department Home Page, Resident Education Home Page, Back to Question Module, Back to Case Presentation Home Page,Top(Spondylo-epi-metaphyseal Dysplasia with Joint Laxity )]