POST TRAUMATIC TIBIA VALGA

JOSEPH BOGDAN, M.D., Resident, Orthopaedic Surgery

ROBERT P. STANTON, M.D., Attending, Pediatric Orthopaedic Surgery

CLINICAL CASE PRESENTATION

ORTHOPAEDIC DEPARTMENT

THE ALFRED I. DUPONT INSTITUTE

WILMINGTON, DELAWARE

CASE HISTORY:

A three year old white male sustained a fracture of the left proximal tibia while jumping off a chair. The minimally displaced fracture was located in the proximal. Treatment consisted of a long leg cast for six weeks. Upon removal of the cast a slight valgus deformity was noted.

Four months after the fracture, progressive valgus deformity was noted and the patient was referred to the duPont Institute for evaluation. Examination revealed full range of motion of the left knee with 20 degrees of genu valgum on left and 10 degrees on the right.

Diagnosis: Post Traumatic Tibia Valga

Plan: Continued observation and parental instruction.

XRAY:

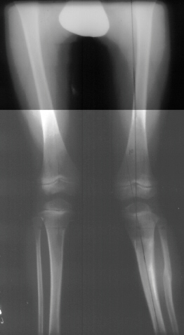
X-ray Set 1. 10 Months post Fracture, Right 8* Left 19* Mechanical axis

X-ray Set 2. 16 Months post Fracture, Right 8* Left 26* Mechanical axis, Left 34* Femoral Tibial Angle.

At this time the child was experiencing significant pain and inability to ambulate. He was treated with varus producing closing wedge osteotomy of the proximal tibia with neutral alignment

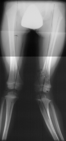
X-Ray Set 3. Post-Op, Neutral alignment

X-Ray Set 4. 3 Months post Surgery , Left 6* Mechanical axis

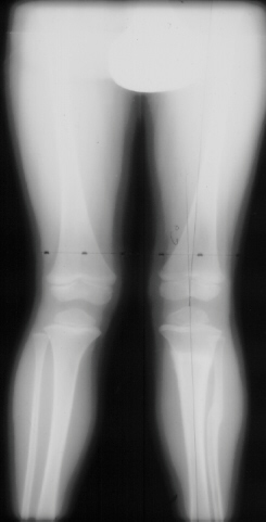
X-Ray Set 5. 9 Months post Surgery Left 10* Mechanical axis

DISCUSSION:

Fractures of the proximal tibial metaphysis initially appear innocuous, but can develop an undesirable valgus deformity. Cozen(2) described four cases of valgus deformity after fracture in 1953. Since then numerous reports and hypotheses have been presented. Fractures in this region are relatively rare with a reported incidence according to Skak(8) of five to six per 100,000.

FRACTURE PATTERNS:

ETIOLOGY:

The proposed causes of progressive valgus deformity include:

TREATMENT:

  1. Anatomic reduction, avoid residual valgus
  2. Treat with long leg cast in extension for 8 weeks
  3. Despite anatomic reduction, post healing valgus deformity may result and parents should be forewarned
  4. Valgus overgrowth should be managed with observation.

SPONTANEOUS CORRECTION

Zoints and MacEwen reviewed the cases of seven children with post-traumatic tibial valga. In six of these patients spontaneous correction occurred. Although improvement was seen in the metaphyseal diaphyseal angle in all cases in which spontaneous correction occurred, compensatory overgrowth of the lateral distal physis was also seen. Valgus deformity in excess of 15 degrees is less likely to spontaneously improve according to Jackson .

TREATMENT OF RESIDUAL VALGUS DEFORMITY:

REFERENCES:
  1. Bowen JR, et al. Partial Epiphyseodesis To Address Genu Varum or Genu Valgum. Journal of Pediatric Orthopaedics 1992; 12-3:359-364
  2. Cozen SE, Alonso JE, Cook FF. Deformity After Fracture of the Proximal Tibia in Children. Orthopaedics 1959; 1:230.
  3. Jordan SE, Alonso JE, Cook FF. The Etiology of Valgus Angulation After Metaphyseal Fractures of the Tibia in Children. Journal of Pediatric Orthopaedics 1987; 7:450
  4. Morton KS, Starr DE. Closure of the Anterior Portion of the Upper Tibial Epiphysis as a Complication of Tibial-Shaft Fracture. JBJS 1964; 46A;570
  5. Pollen AG. Fractures and Dislocations in Children. Baltimore, William and Wilkins: 1973
  6. Robert M, Khouri N, Carloiz H, Alain JL. Fractures of the Proximal Tibial Metaphysis in Children: Review of a Series of 25 Cases. Journal of Pediatric Orthopaedics 1987; 7:444
  7. Salter RB, Best T. The Pathogenesis and Prevention of Valgus Deformity Following Fracturesof the Proximal Metaphyseal Region of the Tibia in Children. JBJS 1973; 55A;1324
  8. Skak SV, Jensen TT, Poulsen TD. Fracture of the Proximal Metaphysis of the Tibia in Children. Injury 1987; 18:149
  9. Zoints LE, Harcke HT, Brooks KM, MacEwen GD. Post Traumatic Tibia Valga: A Case Demonstrating Asymmetric Activity at the Proximal Growth Plate on Technetium Bone Scan. Journal of Pediatric Orthopaedics 1987; 7:458
  10. Zoints LE, MacEwen GD. Spontaneous Improvement of Post-Traumatic Tibia Valga. JBJS 1986; 68A:680


[Orthopaedic Department Home Page, Resident Education Home Page, Back to Question Module, Back to Case Presentation Home Page,Top(Post Traumatic Tibia Valga)]