Module 10, General Orthopaedist Level



A 6 year old white male presents with a history of an undiagnosed skeletal
dysplasia. Previous surgery includes bilateral femoral and tibial osteotomies
for valgus deformities. His knee alignment is now normal. His main complaint
is the development of painful callus over the arch of his foot and difficult
in fitting shoes. These deformities of the feet have been getting worse
by the description given by the mother. His foot deformity has never been
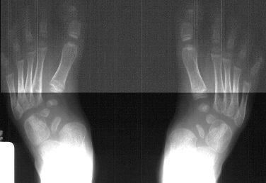
treated with casts or splints. On examination he has a short thick foot
with a kidney bean shaped curve to its lateral border. The arch is not
high but has a heavy callus bilaterally. The following bilateral foot deformities
were also present on physical examination: hindfoot valgus of approx. 20-30
degrees, metatarsus adductus, and prominence of the talar head in the medial
arch with thickened callus over the bony prominence.
Question 10A

The
primary problem in these feet is a very severe metatarsus adductus deformity
which needs too be corrected.
Question 10B

This
deformity would best be described as a Z foot deformity.
Question 10C

One
option for treatment would be to place him in a custom molded shoe insert.
Question 10D

To
make the diagnosis of skewfoot, the first metatarsal angle to the talus
on an AP x-ray has to be greater than 30 degrees.
Question 10E

Although
not as common as metatarsus adductus, skewfoot occurs about at the same
incidence as club foot.
Go to Next Question Module, Go
to Pediatric Orthopaedist Level Modules, Go
to Question Module Home Page, Go
to Case Presentation Home Page, Orthopaedic
Department Home Page.