Module 13, General Orthopaedist Level

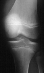
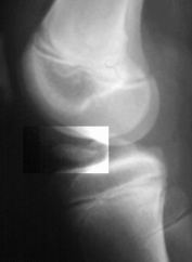
This is a 14 year old male who presented to the emergency room complaining of left knee pain after falling off his bicycle. Examination reveals a swollen left knee. The skin was intact. There was tenderness to palpation diffusely about the knee. Valgus stress at full extension and at 30 degrees revealed an increased laxity on the left. Anterior draw and Lachman tests were also asymmetric with an increased excursion on the left. Neurovascular exam was unremarkable.


Question 13A

This fracture would be best classified as a Type III Meyer's / McKeever tibial spine fracture.


Question 13B

If closed reduction is attempted the knee should be immobilized in 30 degrees of flexion since the etiology of the fracture is hyperextension.


Question 13C

This fracture often fails closed reduction because of soft tissue interposition.


Question 13D

Non-unions are a major problem for these fractures if they are not adequately reduced.


Question 13E

To fully evaluate this fracture prior to treatment an MRI should be obtained.


Go to Next Question Module, Go to Pediatric Orthopaedist Level Modules, Go to Question Module Home Page, Go to Case Presentation Home Page, Orthopaedic Department Home Page.