Module 21, General Orthopaedist Level

1, 2, 3

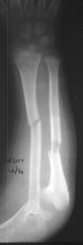
A 4 year and 6 month old male sustained a fall onto an outstretched left arm. He presented to the emergency room with forearm deformity and acute pain(image 1). It was treated with closed reduction and casting (image 2&3).


Question 21A

This is an adequate reduction.


Question 21B

You tell the parents that this will take about 10 to 12 weeks for healing in the cast.


Question 21C

This can easily be reduced and held in a cast and should heal with no residual effects.


Question 21D

This girls fracture healed well. Nine months later she again presents to the emergency room with a history of a fall on the out stretched hand. Now she has a minimal dorsally angulated radial fracture distal to the previous fracture. This indicated that the girl likely has osteogenesis imperfecta and should have a further work up.


Question 21E

Following the reduction the parents should be given Acetaminophen with codeine help with the child's pain control for the first 48 hours.


Go to Next Question Module, Go to Pediatric Orthopaedist Level Modules, Go to Question Module Home Page, Go to Case Presentation Home Page, Orthopaedic Department Home Page.