Module 31, General Orthopaedist Level
1,
2,
3,
4,
5
This 3 year boy presented with shortening of the right humerus.
Clinical examination revealed 4 cm shortening of right arm and
painless limitation of ROM of right shoulder; abduction was 150
degrees with 80 degrees at the glenohumeral joint and internal
rotation was significantly limited(image 1). There was also a
1 cm shortening of the right leg and a 10 degree valgus deformity
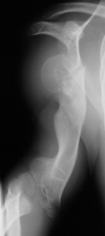
of the same knee(image 2). Radiological examination showed absence
of proximal epiphysis of the right humerus(image 1)with marked
deformity of the metaphyseal region. By age 11 the child had a
good gait pattern however the upper extremity length discrepancy
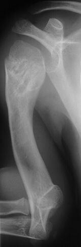
was becoming a cosmetic and functional concern. X-rays at age
11 show significant angulation developed in the humerus(image
3,4 & 5). However tibial growth was good .
Question 31A

These deformities can all be explained by a neonatal septic event.
Question 31B

Epiphysiodesis
of the left humerus should be considered as part of the limb equalization
procedure.
Question 31C

Correction
of the angular deformity should be considered as part of the treatment.
Question 31D

One
stage lengthening on the right humerus would be a reasonable consideration.
Question 31E

The
best timing for surgical treatment of the humerus is to wait until
the completion of the child's growth so there is no risk of further
growth plate injury.
Go to Next Question Module, Go to Pediatric Orthopaedist Level Modules,
Go to Question Module Home Page,
Go to Case Presentation Home Page,
Orthopaedic Department Home Page.