Module 48, General Orthopaedist Level
1,
2,
3,
4
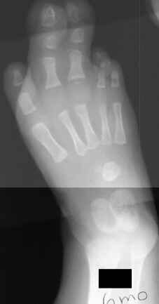
At age 12 months a girl presents severe overgrowth of the foot. She
was the product of a normal pregnancy and delivery and is otherwise completely
healthy. The parents main complaint is that she can not be fitted with
shoes. She had an amputation (image 1 & 2) of the 2nd and 3rd toes
at the level of the mid diaphysis proximal phalanx and extensor tendon
release of the 2nd and 3rd toes with excision of abnormal fibrofatty tissue
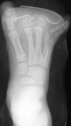
of right foot, at age 5 years, she underwent partial amputation of the
right 2nd and 3rd metatarsals(images 3 & 4). Now at age 10, she has
been doing well, participating in all sports. She has noted that there
has been some difficulty in finding shoes that fits but does not complain
of any pain.
Question 48A

You
think this will require another operative procedure soon to address the
ill fitting shoe problem.
Question 48B

The
cause of this problem has been shown to be abnormal blood supply.
Question 48C

A
microscopic section of this lesion is expected to show nerves with irregular
nodes of benign fibrofatty tissue.
Question 48D

A
cardiac work up is indicated to rule out associated abnormalities.
Question 48E

At
the conclusion of growth this problem will remain stable and the foot should
function well.
Go to Next Question Module, Go
to Pediatric Orthopaedist Level Modules, Go
to Question Module Home Page, Go
to Case Presentation Home Page, Orthopaedic
Department Home Page.