Module 69, General Orthopaedist Level
This 2 year and 9 month old male presented for evaluation
of a worsening valgus deformity of his right knee. Thirteen months
ago, his mother states the patient complained of some right leg
pain and a limp, unassociated with recognized trauma. The pain
and limp resolved over a number of weeks. Mom has noticed a progressive
cosmetic deformity of the leg without any complaints of pain or
functional limitation in running or walking. At the time of the
initial injury, the patient was examined by his doctor but there
was no history of injury and the problem was not considered to
be significant; therefore, no x-rays were performed to document
the possibility of a fracture. On physical examination moderate
to severe genu valgum of 25 degrees of the right knee and 5 degrees
of genu valgum of the left knee was noted. The right knee had
full, painless range of motion without ligamentous instability.
The left iliac crest was higher than the right. There was no significant
rotational deformity noted at the hip, knee or ankle. On gait
examination, patient was able to walk and run without tripping
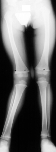
or displaying a functional deficit. Standing AP films of the bilateral
lower extremities revealed a tibial femoral angle of 17 degrees
of the right knee.
Question 69A

The
most likely diagnosis in this boy is a valgus deformity due to
an unrecognized proximal tibia fracture occurring 9 months previous.
Question 69B

The
correct treatment is to place him in a single upright KAFO with
a varus strap 24 hours per day.
Question 69C

You
tell the mother that you expect this will completely recover with
time.
Question 69D

You
tell the mother that she should expect the leg to start looking
better in the next 3 months.
Question 69E

You
advise the mother she should limit the child's activity to avoid
further injury to the knee.
Go to Next Question Module, Go to Pediatric Orthopaedist Level Modules,
Go to Question Module Home Page,
Go to Case Presentation Home Page,
Orthopaedic Department Home Page.