Module 21, Pediatric Orthopaedist Level

1, 2, 3, 4, 5

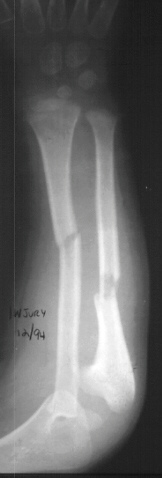
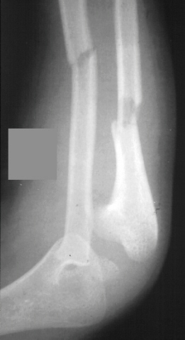
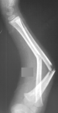
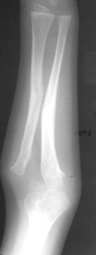
A 4 year and 6 month old male sustained a fall onto an outstretched left arm. He presented to the emergency room with forearm deformity and acute pain(image 1). It was treated with closed reduction and casting (image 2&3). The patient was brought back for another evaluation 10 months after the initial injury(image 4). An x-ray at that time was repeated. On physical examination, he has a prominence over the left radial head. There is full flexion and extension. He has full pronation but lacks 30 degrees of full supination. He is neurovascularly intact(image 5).


Question 21A

Because this boy is asymptomatic and with good range of motion no attempt should be made to do an open reduction of the radial head.


Question 21B

If a decision is made to do a reduction, an osteotomy of the ulna will probably be required at the same time.


Question 21C

Bado's Classification of Monteggia fractures includes 4 principle types and 7 different Monteggia equivalents fracture dislocation.


Question 21D

At 10 months following the injury, you can inform the parents that many children may still have this radial head reduced and develop almost normal range of motion.


Question 21E

The best way to maintain the reduction of the radial head if an attempt at reduction is to be made is by reconstructing the angular ligament using triceps tendon.


Go to Next Question Module, Go to General Orthopaedist Level Modules, Go to Question Module Home Page, Go to Case Presentation Home Page, Orthopaedic Department Home Page.