Module 25, Pediatric Orthopaedist Level




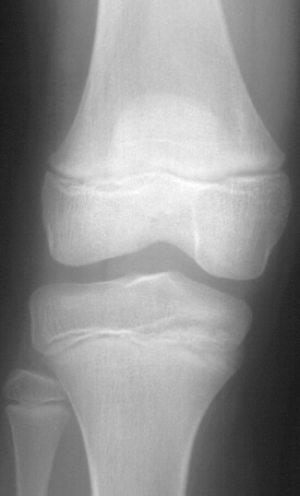
This 9 year old female presented to the emergency room with a four
day history of mild right knee pain. She limps on the affected extremity
when ambulating but has minimal to no pain at rest. No history of trauma
was reported. She has had mildly elevated temperatures over the past several
days according to the mother. There is no history of joint stiffness or
chronic fatigue. No other joints are involved. There is no history of tick
exposure. She has been otherwise healthy in the past. On physical examination
of the right knee there is no limitation in flexion or extension. There
is mild diffuse tenderness that is poorly localized over the medial femoral
condyle. There is no soft tissue swelling or joint effusion noted. No pain
is elicited with ROM of the knee. The remaining extremities are without
tenderness or swelling. Temperature is 38.8* C. LABS: WBC 13,400 Differential--
73% polys, 8% lymphs, 1% bands, Sed rate 41 mm/hr. The patient was discharged
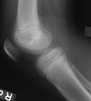
home and re-checked the following day persistent tenderness over the knee
and new physical findings of swelling and pain with decreased Range Of
Motion of the knee, temperature was 39.2. She says she feels no different
than yesterday.
Question 25A

Aspiration
of the distal femur and knee joint is the next definitive step in the work
up.
Question 25B

The
femoral aspiration was bloody but contained gram positive cocci on gram
stain. The femoral metaphysis should be surgically opened and drained.
Question 25C

Two
days after the initial visit to the emergency room, the blood culture grew
staph aureus. This result was obtained just prior to going to the operating
room to aspirate the femur. Antibiotics should be started prior to the
general anesthesia.
Question 25D

Both
femoral aspirate and blood cultures were positive for staph aureus. The
patient remained in the hospital for 14 days. She was discharged on IV
cefuroxime to complete a six week course of antibiotic therapy.
Question 25E

Subacute
osteomyelitis of the epiphysis maybe confused with Ewing's sarcoma, Brodie's
abscess, or osteogenic sarcoma.
Go to Next Question Module, Go
to General Orthopaedist Level Modules, Go
to Question Module Home Page, Go
to Case Presentation Home Page, Orthopaedic
Department Home Page.