

![]()
Femoral
heads which show the head-within-head appearance have a better
prognosis.
![]()
The
damage to the lateral physis may remain dormant until the age
of 10 or 12 years.
![]()
Trochanteric
overgrowth is more of a problem with damage to the central physis.
![]()
Severe
AVN of the femoral head leads to femoral neck shortness and coxa
magna only because the epiphysis has been injured.
![]()
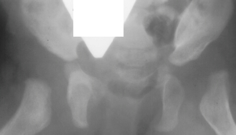
Arrest
of the medial physis also commonly occurs and leads to coxa vara.
Go to Next Question Module, Go to General Orthopaedist Level Modules, Go to Question Module Home Page, Go to Case Presentation Home Page, Orthopaedic Department Home Page.