Module 42, Pediatric Orthopaedist Level

A 6 month old Amish infant female was referred for symmetric polydactyly of both hands. Prior to her presentation in our clinic she was seen and evaluated by a cardiologist for an apparent congenital heart murmur. On physical examination of the upper extremities there was a sixth digit on the ulnar border of both hands. The finger nails appeared to be dysplastic.


Question 42A

The types of tissues involved in this disorder, are the long bones of the skeleton, nails, and teeth.


Question 42B

C1-2 instability is a major problem, so the children always need preoperative neck x-rays.


Question 42C

The teeth are affected, with eruption occurring at birth or shortly after.


Question 42D

On x-ray the distal and middle phalangeal segments are shorter in relation to the proximal phalangeal segments.


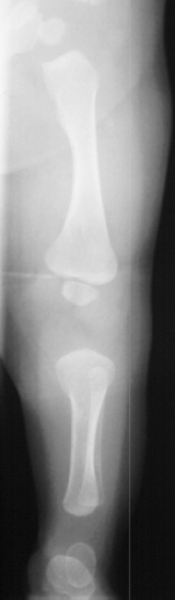
Question 42E

The fibula is disproportionately shorter than the tibia .


Go to Next Question Module, Go to General Orthopaedist Level Modules, Go to Question Module Home Page, Go to Case Presentation Home Page, Orthopaedic Department Home Page.