Module 45, Pediatric Orthopaedist Level
A 2 year old boy was seen for evaluation of intoeing. He had
been previously diagnosed with bilateral metatarsus adductus at
another institution. His prior treatment consisted of serial casting
for eight weeks which began shortly after birth, this was followed
by corrective shoes until 12 months of age. His parents felt that
the metatarsus adductus had improved since birth, however they
still had concerns over the residual deformity. They denied that
their child had any functional problems. There was a positive
maternal family history of "intoeing" which was treated
with a Dennis Browne bar and corrective shoes. Examination revealed
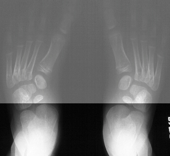
a well-appearing child. He had bilateral mild internal tibial
torsion, however the major component of his intoeing appeared
to be secondary to bilateral metatarsus adductus deformities which
were supple and flexible and they were both able to be corrected
to neutral position. The patient returned for follow-up at the
age of 5 years and 1 month. His mother stated that he still had
residual intoeing, and he appeared more clumsy with gait than
other children his age. She was concerned that his metatarsus
adductus had not corrected, and she wanted to know if anything
more could be done. The patient still had not had any functional
problems, nor had he any shoe wear problems. Examination revealed
bilateral flexible metatarsus adductus deformities. There was
no evidence of any skin breakdown or callous formation. He did
have a noticeable valgus right heel with a less obvious left heel
valgus deformity. His subtalar motion was maintained.
Question 45A

Now, by age 5 years this child definitely has a skewfoot.
Question 45B

In planning the treatment it is important to determine if the
child has skewfoot or metatarsus adductus.
Question 45C

Most
children with skewfoot are born with the deformity, however it
only becomes noticeable as the bones in the foot ossify and the
foot becomes more stiff.
Question 45D

Patients
never have spontaneous correction of the skewfoot with time.
Question 45E

Now
at age five, this boy should plan to have a surgical correction
of the hindfoot valgus by subtalar fusion and a closing wedge
calcaneocuboid fusion.
Go to Next Question Module, Go to General Orthopaedist Level Modules,
Go to Question Module Home Page,
Go to Case Presentation Home Page,
Orthopaedic Department Home Page.