Module 48, Pediatric Orthopaedist Level
1,
2,
3,
4
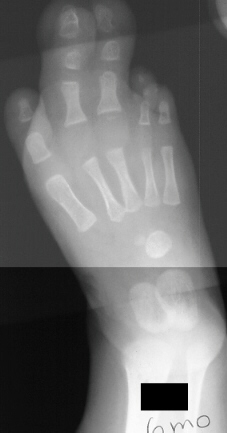
At age 12 months a girl presents severe overgrowth of the
foot. She was the product of a normal pregnancy and delivery and
is otherwise completely healthy. The parents main complaint is
that she can not be fitted with shoes. She had an amputation (image
1 & 2) of the 2nd and 3rd toes at the level of the mid diaphysis,
proximal phalanx and extensor tendon release of the 2nd and 3rd
toes with excision of abnormal fibrofatty tissue of right foot,
at age 5 years, she underwent partial amputation of the right
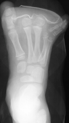
2nd and 3rd metatarsals(images 3 & 4). Now at age 10, she
has been doing well, participating in all sports. She has noted
that there has been some difficulty in finding shoes that fit,
but does not complain of any pain.
Question 48A

Neurofibromatosis
must be considered in the differential diagnosis in the above
child.
Question 48B

Doing
an operative procedure to strip the nerves going to the foot is
an option to treat this condition.
Question 48C

The
bone age in the large digits appears greater than in normal digits
which is common in this condition.
Question 48D

Epiphyseal
arrest of the metatarsal bones is another treatment option.
Question 48E

A
reasonable treatment option in the above patient would have been
a below knee amputation at the first procedure.
Go to Next Question Module, Go to General Orthopaedist Level Modules,
Go to Question Module Home Page,
Go to Case Presentation Home Page,
Orthopaedic Department Home Page.