1,
2,
3,
4
![]()
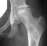
This treatment is expected to prevent further collapse of the
femoral head.
![]()
An
important aspect during hip surgery on adolescents is to have
blood available and plan a transfusion.
![]()
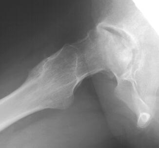
Four
years later, she is able to ambulate without any aids but complains
of a dull ache in her left hip and a limitation in rotation
.
Now at age eighteen, a total hip replacement is the best option
and she should do as well as others with chronic joint degeneration
should as rheumatoid arthritis.
![]()
Salmonella
is the most common infectious organism in osteomyelitis in individuals
with sickle cell disease.
![]()
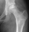
Children
in mid-childhood with sickle cell disease develop avascular necrosis
of the femoral head which responds similar to Perthes disease
of the hip.
Go to Next Question Module, Go to General Orthopaedist Level Modules, Go to Question Module Home Page, Go to Case Presentation Home Page, Orthopaedic Department Home Page.