Module 58, Pediatric Orthopaedist Level

1, 2, 3

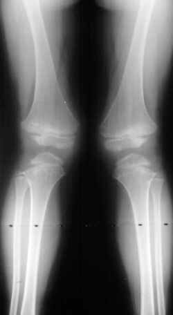
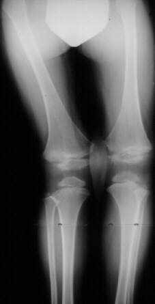
An 11 year old white male presented with a diagnosis of Multiple Epiphyseal Dysplasia (MED). Initially he presented with x-rays revealing mild genu valgum (image1) which progressed (image2) such that he required surgery. He had a supracondylar osteotomy which was performed in 1993 for genu valgum(image3). Two years later he was last seen for low back pain.


Question 58A

The hips in a child with MED may look like bilateral Perthes' disease.


Question 58B

At age 16 the above boy presents with severe hip pain which does not respond to conservative treatment. A valgus osteotomy is the next step in the surgical treatment.


Question 58C

As this boy is complaining more of pain in the knees, the use of Lofstrand crutches is recommended.


Question 58D

This boy wants to play soccer and you encourage him to go ahead.


Question 58E

Weight control is an important aspect in the management of children with MED.


Go to Next Question Module, Go to General Orthopaedist Level Modules, Go to Question Module Home Page, Go to Case Presentation Home Page, Orthopaedic Department Home Page.