Module 63, Pediatric Orthopaedist Level


This 16 year old, 220 pound male presented to the emergency
room after sustaining an acute injury to his right knee while
playing baseball. The patient related that he noticed acute onset
of pain in the right knee after striking out at bat. He heard
a single clunk in his knee and noticed immediate pain and swelling.
On examination he was noted to have medial knee tenderness with
a mildly positive apprehension test. His ACL, PCL, MCL and LCL
ligaments were intact. He was placed into a knee immobilizer and
told to follow up in the Sports Medicine clinic. He presented
to Sports Clinic 6 days later with a reporting the knee "gave
out" on him several times since the accident. On physical
exam of the patient, six days after injury the knee was noted
to have a large effusion. ROM was limited from 20 to 100 degrees
of flexion. There was significant medial retinacular tenderness
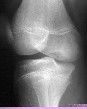
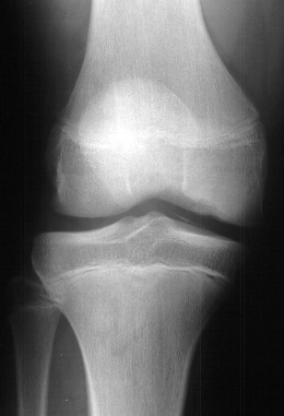
with a mildly positive apprehension test. Based on the radiographs
and his clinical exam an arthroscopic examination was performed.
At arthroscopy the medial femoral condylar defect was not apparent,
but a large retinacular tear was discovered. Also, the patient
had an osteochondral fracture of the lateral femoral condyle and
a free 7 mm by 5 mm intraarticular cartilage fragment.
Question 63A

The best treatment for this cartilage fragment is to remove it.
Question 63B

An
open repair of the medial retinaculum should be performed.
Question 63C

Patella
alta and Excessive Q angle are two risk factors for this type
of patellar dislocation.
Question 63D

This
injury is most commonly associated with in gymnastics, cheerleading,
or dancing.
Question 63E

This
boy has a substantial risk for repeat dislocation of the patella.
Go to Next Question Module, Go to General Orthopaedist Level Modules,
Go to Question Module Home Page,
Go to Case Presentation Home Page,
Orthopaedic Department Home Page.