
![]()
After
treatment in a short leg walking cast for six weeks, the foot
pain had subsided so the child is allowed to return to normal
activity.
![]()
After
3 months, the child returns because of repeat pain. You inform
the mother that this is very unlikely and further work up is needed.
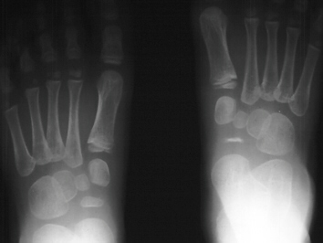
![]()
An
x-ray at six months showed a very thinned navicular with irregular
ossification. The mother is told that this is normal and in the
long term there will be no disability from this process.
![]()
This
condition is commonly associated with an accessory navicular which
may become symptomatic.
![]()
Although
these feet become asymptomatic over time, degenerative changes
develop in the talonavicular joint.
Go to Next Question Module, Go to General Orthopaedist Level Modules, Go to Question Module Home Page, Go to Case Presentation Home Page, Orthopaedic Department Home Page.