Module 67, Pediatric Orthopaedist Level

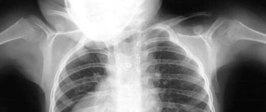
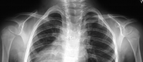
This is a 5 year and 3 month old white female was the product
of a full-term normal spontaneous vaginal delivery with a diagnosis
of CHARGE syndrome (defects of the eyes, ears, heart, choanal
atresia (primordal oronasal opening into the brain, mental retardation,
and genital hypoplasia). She presented for evaluation of a webbed
neck, left side worse than right. The child has developmental
delay and began walking at 4 years of age. She had undergone previous
surgery for strabismus and an atrial septal defect. Physical exam
revealed defects of the eyes and ears, the neck was shortened
and webbed (left worse than right). The back, shoulders and scapula
were elevated (left worse than right). The scapula was rotated
down and away from spine. Shoulder abduction was 110 degrees on
right and 100 degrees on left.
Question 67A

A
good treatment option at this time would be to work on physical
therapy to gain shoulder joint range of motion and muscle strength.
Question 67B

If
surgery is to be considered, its only goal is to improve the cosmetic
appearance of the girl.
Question 67C

The
best way to evaluate the amount of mobility in these scapula is
to obtain a CT scan and look for omovertebral bones.
Question 67D

If
surgery is being considered, resecting the omovertebral bones
or fibrous adhesions which bind the scapula to the vertebra is
an important part of the procedure.
Question 67E

Excising
the superior border of the scapula is an important aspect of the
procedure to improve function of the shoulder.
Go to Next Question Module, Go to General Orthopaedist Level Modules,
Go to Question Module Home Page,
Go to Case Presentation Home Page,
Orthopaedic Department Home Page.