Module 69, Pediatric Orthopaedist Level
1,
2
This 2 year and 9 month old male presented for evaluation of a worsening
valgus deformity of his right knee. Thirteen months ago, his mother states
the patient complained of some right leg pain and a limp, unassociated
with recognized trauma. The pain and limp resolved over a number of weeks.
Mom has noticed a progressive cosmetic deformity of the leg without any
complaints of pain or functional limitation in running or walking. At the
time of the initial injury, the patient was examined by his doctor but
there was no history of injury and the problem was not considered to be
significant; therefore, no x-rays were performed to document the possibility
of a fracture. On physical examination moderate to severe genu valgum of
25 degrees of the right knee and 5 degrees of genu valgum of the left knee
was noted. The right knee had full, painless range of motion without ligamentous
instability. The left iliac crest was higher than the right. There was
no significant rotational deformity noted at the hip, knee or ankle. On
gait examination, patient was able to walk and run without tripping or
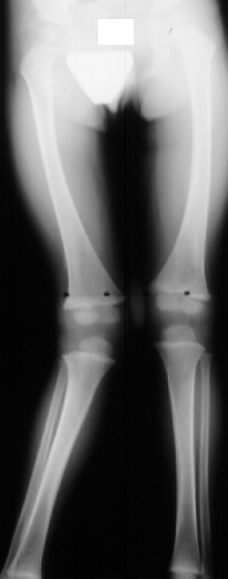
displaying a functional deficit. Standing AP films of the bilateral lower
extremities revealed a tibial femoral angle of 17 degrees of the right
knee(image1). At a four month follow up now 13 months after injury a progression
to 27 degrees was noted(image2). Neutral alignment of the left knee was
noted.
Question 69A

This
is the typical rate of progression expected for this condition.
Question 69B

He
is walking without a limp and not having pain therefore continued observation
is the treatment of choice.
Question 69C

The
most popular theory of the etiology of this condition is medial tibial
over growth due to the hyperemia of the minor fracture.
Question 69D

If
a corrective osteotomy is considered, it is recommended to wait 2 years
following the traumatic event.
Question 69E

Epiphysiodesis
is a reasonable option which the mother can be told about but should be
put off for a number of years.
Go to Next Question Module, Go
to General Orthopaedist Level Modules, Go
to Question Module Home Page, Go
to Case Presentation Home Page, Orthopaedic
Department Home Page.