Module 52, General Medical Level
A 3 year old girl is brought for evaluation because of possible
scoliosis. Her developmental history was of a normal vaginal delivery
weighting 8 pound 6 ounce, full term female with no perinatal
events and normal intrauterine movement. She was developing normally
until 6 months of age when parents noticed she stopped moving
her legs and lost the ability to roll over. At that time a work
up including muscle biopsy concluded that the diagnosis was Spinal
Muscular Atrophy. She was managed with outpatient and inpatient
rehabilitation consisting of intensive physical, occupational
and aquatic therapy and the use of long leg braces at age of 2.
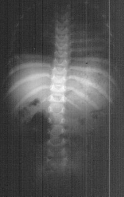
By age three there was concern about her spine. Radiographic evaluation
at age of 3 years was done(above).
Question 52A

This
is a typical history for Type I: Acute Werdnig Hoffman Disease
which is a subtype of spinal muscular atrophy in which the children
are developing normally but suddenly develop the inability to
move.
Question 52B

The
severe weakness is usually life threatening in these children.
Question 52C

This
child probably also has severe cognitive delay.
Question 52D

Scoliosis
does occur commonly in children with SMA, but is not a major cause
of disability compared to their other problems.
Question 52E

Hip
dislocation is another common problem in children with SMA.
Go to Next Question Module, Go to General Orthopaedist Level Modules,
Go to Question Module Home Page,
Go to Case Presentation Home Page,
Orthopaedic Department Home Page.