MACRODACTYLY

CHUN LI, M.D., Pediatric Orthopaedic Research Fellow

ROBERT P. STANTON, M.D., Attending Pediatric Orthopedic Surgeon

April 24, 1996

CLINICAL CASE PRESENTATION

ORTHOPAEDIC DEPARTMENT

THE ALFRED I. DUPONT INSTITUTE

WILMINGTON, DELAWARE

CASE HISTORY:

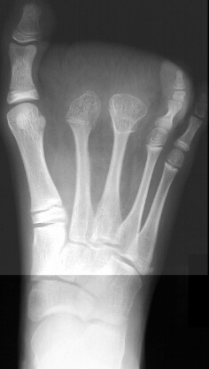
Bridget is a 10 and a half yr. old white female with macrodactyly of the right foot. In may of 1985 she had an amputation of the 2nd and 3rd toes at the level of the mid diaphysis proximal phalanx and extensor tendon release of the 2nd and 3rd toes with excision of abnormal fibrofatty tissue of right foot, and most recently in 1990 she underwent partial amputation of the right 2nd and 3rd metatarsals . She has been doing well, participating in all sports. She has noted that there has been some difficulty in finding shoes that fits but does not complain of any pain.

She will need surgery on the forefoot to debulk the forefoot, and it will be done in June.

PHYSICAL EXAM:

She has an increased soft tissue bulk in the forefoot. The skin is otherwise in good condition, no areas of breakdown. It is non tender and incisions are all well healed. X-rays reveal the metatarsal and phalangeal physes are still open. Family History is negative.

INHERITANCE AND ETIOLOGY:

Macrodactyly is not hereditary and its etiology remains elusive.

1) Abnormal nerve supply

2) Abnormal blood supply

3) Abnormal humoral mechanisms

No direct evidence supports the latter two suggested causes, but there is evidence that nerves exhibit some control on tissue growth.

Anatomic Pathology:

The involved nerves become enlarged and tortuous. the bone age in the large digits appears greater than in normal digits. the periosteum also becomes markedly thickened. On microscopic examination, the nerves show irregular nodes of benign fibrofatty tissue.

Indications for Operative Treatment:

Treatment may be indicated for psychological damage along. Amputation is indicated at any age for any unsightly digit or toe that interferes with function of rest of the hand or foot and can not be corrected.

TREATMENT:

1) Carpal tunnel release

2) Bulk reduction procedure

3) Stripping of the nerves

4) Resection of the nerve

5) Epiphyseal arrest

6) Angulation osteotomy

7) Finger shortening

8) Amputation

DIFFERENTIAL DIAGNOSIS
  1. Vascular ( hemangioma, arteriovenous fistula, congenital limphedema, Klippel-Trenaunay-Weber syndrome)
  2. Bone multiple endochondromatosis, Ollier`sdisease, Muffucci`s disease, Osteoid osteoma, Leri`s melorheostosis, Albright`s syndrome)
  3. Tumors or malformations or from extension limb enlargements (congenital localized giantism)
  4. Neurofibromatosis
REFERENCES:

1) Wood, VE: Operative Hand Surgery. Volume 1, Chapter 11, 495-547

2) Schuind, F, et al: Myperostotic Macrodactyly. J Hand Surg. 1988;13A:544-8

3) Barmakian, JT, et al: Proteus syndrome. J Hand Surg. 1992;17A:32-4

4) Tsuge,K: Treatment of Macrodactyly. J Hand Surg. 1985:10A:968-9

5) Miura, H, et al: Macrodactyly in Proteus syndrome. J Hand Surg. 1993;18B:308-9


[Orthopaedic Department Home Page, Resident Education Home Page, Back to Question Module, Back to Case Presentation Home Page,Top(Macrodactyly)]