MONTEGGIA FRACTURES

FRANK GIACOBETTI, MD, Orthopaedic Resident

J. RICHARD BOWEN, M.D., Pediatric Orthopaedic Surgeon, Chairman

October 12, 1995

CLINICAL CASE PRESENTATION

ORTHOPAEDIC DEPARTMENT

THE ALFRED I DUPONT INSTITUTE

WILMINGTON, DELAWARE

CASE HISTORY:

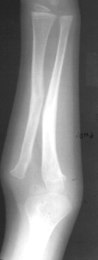
This is a 4 + 6mos old male who sustained a fall onto an outstretched left arm in December 1994 resulting in a Monteggia Type lV fracture. It was treated with closed reduction and casting. Subsequently, he went on to a malunion with a persistent dislocation of the radial head. He presented to A.I. duPont Institute10 months post injury for further evaluation and treatment.

On physical examination, he has a prominence over the left radial head. There is full flexion and extension. He has full pronation but lacks 30 degrees of full supination. He is neurovascularly intact.

HISTORY:

Giovanni Battista Monteggia in 1814 first described the injury consisting of a fracture of the proximal third of the ulna and a anterior dislocation proximal epiphysis of the radius. Bado subsequently redefined the Monteggia lesion as a group of traumatic lesions having in common a dislocation of the radiohumeral joint, associated with a fracture of the ulna at various levels.

Monteggia fractures account for 0.4% of all forearm fractures. The peak incidence occurs between the ages of 4 and 1 0 years.

SIGNS AND SYMPTOMS:

Monteggia lesions are marked by pain and tenderness about the elbow. Range of motion of the elbow is restricted. The radial head may be palpable in the dislocated position and the angulation of the ulna shaft may be visualized or palpable.

XRAY FINDINGS:

The most important view is a true lateral of the elbow. The lesion may be missed on the AP view. In the lateral view, a line drawn through the center of the radial neck and head should extend through the capitelum. This is true whether the elbow is flexed or extended.

CLASSIFICATION:

Bado's Classification

Monteggia equivalents:

  1. Anterior dislocation of the radial head with plastic deformation of the ulna.
  2. Fracture of the ulnar diaphysis with a fracture of the neck of the radius.
  3. Fracture of the ulnar diaphysis with a fracture of the proximal third of the radius proximal to the ulnar fracture.
  4. Fracture of the ulnar metaphysis with anterior dislocation of the radius.
  5. Fracture of the ulnar diaphysis with anterior dislocation of the radial head and fracture of the olecranon.
  6. Fracture of the ulnar metaphysis with fracture of the neck of the radius.
  7. 7.Posterior dislocation of the elbow and fracture of the ulnar diaphysis, with or without fracture of the proximal radius.
MECHANISM OF INJURY:
MANAGEMENT:

Approximately 90% of children with this injury have good to excellent results- In patients less than 13 who are treated by initial closed reduction the long term results are excellent. Open reduction is required if an adequate closed reduction can not be achieved. This occurs more frequently in older children.

TYPE I Fx's: Traction is applied with the forearm extended and supinated. The ulnar angulation is reduced which allows spontaneous reduction of the radial head. If this does not occur, the elbow is gently flexed while pressure is applied anteriorly over the head of the radius. Once reduction is obtained, the elbow is immobilized in a long arm cast in full supination and flexion to 100 degrees. If the reduction of the ulna cannot be maintained, internal fixation may be necessary.

TYPE II Fx's: Reduction obtained by extending the elbow with the forearm in supination, correcting the angulation of the ulna, and pushing with the thumb over the posterior aspect of the radial head. The arm is then immobilized in a long arm cast with sufficient extension.

TYPE III Fx's: Reduction performed by traction and putting an abduction strain on the fully extended elbow. The forearm should also be supinating while a direct ulnarward pressure is applied over the dislocated radial head.

TYPE IV Fx's: These fractures are extremely rare. Closed manipulation should consist of restoring the alignment of the ulna fracture and strong supination to reduce both the radial head dislocation and the radial fracture. However, these fractures are difficult to reduced by closed manipulation. First step is accurate reduction of the ulna with either intramedullary fixation or plating. Following this, if closed manipulation of the radius fails, the radial shaft should be exposed as well as the radial head if needed. If the annular ligament cannot be repaired, consider the Bell-Tawse procedure for reconstructing the annular ligament .

REFERENCES:
  1. Bado, J.L. The Monteggia lesion. Clin Orthop 50: 71-86, 1967.
  2. Fahmy, N.R.M. Unusual Monteggia lesions in children. Injury 12(5): 399-404, 1980.
  3. Letts, M.; Locht, R.: Weins, J. Monteggia fracture-dislocations in children. J Bone Joint Surg 67-B: 724-727, 1985.
  4. Papavasiliou, V.A., Nenopoulos, S.P. Monteggia-type elbow fractures in childhood. Clin Orthop 233:230-233, 1988.


[Orthopaedic Department Home Page, Resident Education Home Page, Back to Question Module, Back to Case Presentation Home Page,Top(Monteggia Fractures)]