POST TRAUMATIC TIBIA VALGA

DAVID E. REINHARDT, D.O., Resident Orthopedic Surgery

WILLIAM MACKENZIE, M.D., Attending Orthopedic Surgery

July 29, 1996

CLINICAL CASE PRESENTATION

ORTHOPAEDIC DEPARTMENT

THE ALFRED I. DUPONT INSTITUTE

WILMINGTON, DELAWARE

CASE HISTORY:

This 2 + 9 year old black male presented to Orthopedic Clinic for follow-up with a worsening valgus deformity of his right knee. The first visit was March of 1996. Approximately thirteen months ago, his mother states the patient complained of some right leg pain and a limp, both of which had resolved over time. Mom has noticed a progressive cosmetic deformity of the leg without any complaints of pain or functional limitation in running or walking. There was a question of a traumatic event given the history. The injury was not considered to be significant; therefore, no x-rays were performed to document the possibility of a fracture.

PHYSICAL EXAM: Moderate to severe genu valgum of 25 degrees of the right knee and 5 degrees of the left knee genu valgum was observed. The right knee had full, painless range of motion without ligamentous instability. The left iliac crest was higher than the right. There was no significant rotational deformity noted at the hip, knee or ankle.

On gait examination, patient was able to walk and run without tripping or displaying a functional deficit.

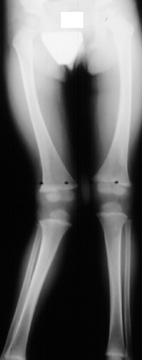
X-RAY: Standing AP films of the bilateral lower extremities revealed a tibial femoral angle of 17 degrees of the right knee in March 1996 and a progression to 27 degrees by July 1996. Neutral alignment of the left knee was noted.

No osseous pathology was seen on radiograph.

DIAGNOSIS: Unilateral acquired right genu valgum probable post traumatic.

TREATMENT:

  1. Serial observation with standing AP films of the bilateral lower extremities.
  2. Follow-up appointment in 8 months.

POST TRAUMATIC TIBIA VALGA

CURRENT RECOMMENDATIONS:
REVIEW OF LITERATURE:

Pappas states a dual deformity occurs consisting of an angular deformity and longitudinal overgrowth. Early corrective osteotomy during growing years has resulted in an unacceptable high rate of reoccurrence. He therefore recommended non-operative treatment and overgrowth to be corrected by epiphysiodesis.

Broughan and Nicol discovered late valgus deformities occur even with open reduction. Ideal treatment is closed reduction since possible spontaneous correction can occur. Recommended corrective osteotomy to be deferred for at least 3 years after fracture.

Jordan et. al. retrospectively reviewed 7 possible etiologies of tibia valga. Patients were treated with various techniques consisting open repair of the periostium, closed reduction, casting in situ and placement in a long leg cast. All patients developed tibia valga. The average deformity was 12.5 degrees. They concluded that the primary etiology for tibia valga was asymmetric overgrowth secondary to a vascular response.

Zionts and MacEwen reported valgus deformities to be progressive both during the period of fracture healing and clinical union. Max deformity was seen approximately 1 year after injury. Improvement of mechanical tibial femoral angle was seen in all patients. All children were asymptomatic. The deformity was purely cosmetic. Average growth discrepancy was 1 sonometer.

Bowen et. al. reports epiphysiodesis is a simple procedure too allow for correction of an angular deformity with remaining growth. The procedure must be performed at a specific bone age to achieve proper final alignment of the extremity. It must not be estimated or error will ensue. Indications are valgum greater than 10 degrees after 8 years of age, 15-20 degrees of valgum or intramalleolar distance of 10 sonometers or more at age 10.

REFERENCES:
  1. Balthazar, D.A.; Pappas, A.M., Acquired Valgus Deformity of the Tibia in Children. JPO 1984; 4:538.
  2. Bowen, J.R. et. al., Partial Epiphysiodesis to Address Genu Varum or Genu Valgum. JPO 1992; 12:359.
  3. Brougham, D.I.; Nicol, R.O., Valgus Deformity After Proximal Tibial Fractures in Children. JBJS (Br) 1987; 69:42.
  4. Jordan, S.E. et. al., The Etiology of Valgus Angulation After Metaphyseal Fractures of the Tibia in Children. JPO 1987; 7:450.
  5. Kling, T.F., Angular Deformities of the Lower Limbs in Children. Ortho. Clinics. 1987; 18(4):513.
  6. Mielke, C.H.; Stevens, P.M., Hemiepiphyseal Stapling for Knee Deformities In Children Younger than 10 Years. JPO 1996; 16:423.
  7. Zionts, L.E., MacEwen, G.D., Spontaneous Improvement of Post-Traumatic Tibia Valga. JBJS Am. 1986; 68:680.


[Orthopaedic Department Home Page, Resident Education Home Page, Back to Question Module, Back to Case Presentation Home Page,Top(Tibia Valga)]