Module 42, General Orthopaedist Level

A 6 month old Amish infant female was referred for symmetric polydactyly of both hands. Prior to her presentation in our clinic she was seen and evaluated by a cardiologist for an apparent congenital heart murmur. On physical examination of the upper extremities there was a sixth digit on the ulnar border of both hands. The finger nails appeared to be dysplastic.


Question 42A

The heart murmur and extra digits are characteristics of the same syndrome.


Question 42B

As the child grows a short-limbed disproportionate dwarfism will likely become more apparent


Question 42C

Neither parent or siblings have the same problem therefore you can reassure the parents if they want to have other children the chances are very small that additional children will have the same problem.


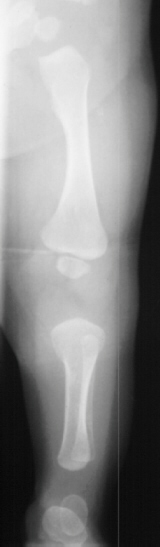
Question 42D

As the child grows, she may develop varus deformity of the knees. These deformities do not respond to orthotic treatment and may need osteotomies for correction.


Question 42E

This syndrome occurs most commonly in closed communities along the Eastern US, but has been reported in many ethnic groups.


Go to Next Question Module, Go to Pediatric Orthopaedist Level Modules, Go to Question Module Home Page, Go to Case Presentation Home Page, Orthopaedic Department Home Page.