KYPHOSCOLIOSIS AND NEUROFIBROMATOSIS

MARTIN JENTER, D.O., Orthopaedic Resident

KIRK DABNEY, M.D., Attending Pediatric Orthopaedic Surgeon

January 31, 1996

CLINICAL CASE PRESENTATION

ORTHOPAEDIC DEPARTMENT

THE ALFRED I. DUPONT INSTITUTE

WILMINGTON, DELAWARE

CASE HISTORY:
Physical Findings:

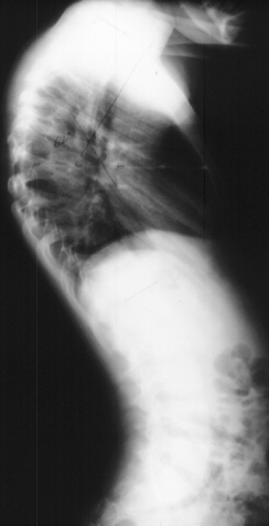
Significant findings are the cafe-au-lait spots on torso and extremities, axillary and inguinal freckling, plexiform neuroma right flank, obvious kyphosis and scoliosis with shortened trunk in relation to extremities, ligamentous laxity of fingers and elbow. Gait, reflexes and neuromuscular exam are all normal.

Treatment:

In preparation for spinal fusion for stabilization of this kyphoscoliosis he underwent a MRI of the brain cervical and thoracic spine and CT of the thorax. The brain and cervical spine showed no evidence of tumor. The lower cervical and upper thoracic canal was enlarged without evidence of cord compression, a finding consistent with dural ectasia . There is soft tissue protrusion into the thoracic canal that may resemble a dumbbell lesion.

Coinciding with current literature recommendations for treatment of severe dysplastic kyphoscoliosis, the patient underwent an Anterior-Posterior spinal fusion from T1-T10. The scoliosis was corrected to 21 degrees and kyphosis to 34 degrees. The procedure was augmented with a rib strut graft and was tolerated well. No neurologic complications occurred and the patient developed a solid fusion by one year without progression of the curvature. He is currently 5 years post-op playing in sports and without pain.

SCOLIOSIS AND NEUROFIBROMATOSIS

Incidence:

Most common skeletal problem in NF is scoliosis. Occurs in 3% of patients with scoliosis that are seen in a scoliosis clinic and 60% of all patients seen in a neurofibromatosis clinic.

Types:

Dysplastic: Short-segmented, sharp angled scoliosis with severe wedging of the apical vertebrae. Foraminal enlargement, scalloping vertebrae, pencil-like ribs, spindling transverse process and apical rotation all signs of dysplasia. Ribs may protrude into canal. Progressive, no standard pattern.

Nondysplastic: Resembles idiopathic scoliosis with equal right and left thoracic curves. Progression of

curves with or without fusion is faster than idiopathic.

Cause:

Exact cause is unknown but believed to be secondary to either osteomalacia, local fibromas, endocrine abnormality or mesoderm dysplasia.

Kyphosis:

Considered pathologic if greater than 49 degrees. Possibly secondary to collapse of apical dystrophic vertebrae with flexion force created by rotation with the scoliosis. Kyphosis contributes more to paraplegia as a result of tension on cord with flexion. This typically occurs in the upper thoracic region where the cord -canal ratio is most critical.

Management:

All patients going to surgery or undergoing spinal manipulation need cervical X-rays. If dystrophic changes on AP or Lat do obliques to look for dumbbell lesion and flex/ext for instability. MRI or CT myelogram to evaluate for intra or extradural mass, menigeocele, dural ectasia.

Cervical Treatment:

Posterior spinal fusion for severe deformity and instability. Autologous graft and halo. If previous laminectomy, do anterior and posterior fusion.

Thoracic Scoliosis:

Dystrophic type:
Nondystrophic type:
RESULTS:
Nondystrophic curves:
Dystrophic curves:
REFERENCES:
  1. Calvert, P.T., Edgar, M.A., Webb, . Scoliosis in Neurofibromatosis. JBJS(Br) 1989;71-B:246-51.
  2. Chaglassian, J.H., Riseborough, E.J., Hall, J.E. Neurofibromatous Scoliosis. JBJS 1976;58-A:695-702.
  3. Crawford, Alvin. Pitfalls of Spinal Deformities Associated with Neurofibromatosis in Children. Clin Orthopedics and Related Research 1989;245: 29-41.
  4. Crawford, Alvin. Neurofibromatosis. The Pediatric Spine: Principles and Practice. 1994;ch 28: 619- 649.
  5. Winter, R.B., Moe, J.H., Bradford, D.S., Lonstein, J.E., Pedras, C.V., Weber, A.H. Spine Deformity in Neurofibromatosis. JBJS 1979;61-A: 677-694.


[Orthopaedic Department Home Page, Resident Education Home Page, Back to Question Module, Back to Case Presentation Home Page,Top(Kyphoscoliosis and Neurofibromatosis)]