INCORRECT


The correct answer is:

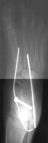
Some mechanism has to be used to correct the hindfoot valgus.. That was the case in this child in which subtalar arthrodesis with autograft bone graft and screw fixation was performed.


Return to Present Question Module for more questions.

Go to detailed Case Presentation for more information.


Go to Next Question Module, Go to Case Presentation Home Page, Orthopaedic Department Home Page.