Module 10, Pediatric Orthopaedist Level


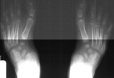
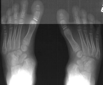
A 6 year old white male presents with a history of an undiagnosed
skeletal dysplasia. Previous surgery includes bilateral femoral
and tibial osteotomies for valgus deformities. His knee alignment
is now normal. His main complaint is the development of painful
callus over the arch of his foot and difficult in fitting shoes.
These deformities of the feet have been getting worse by the description
given by the mother. His foot deformity has never been treated
with casts or splints. On examination he has a short thick foot
with a kidney bean shaped curve to its lateral border. The arch
is not high but has a heavy callus bilaterally. The following
bilateral foot deformities were also present on physical examination:
hindfoot valgus of approx. 20-30 degrees, metatarsus adductus,
and prominence of the talar head in the medial arch with thickened
callus over the bony prominence.
Question 10A

Surgical
treatment of this deformity may require a subtalar fusion.
Question 10B

A
good option would be to do a closing wedge osteotomy of the calcaneocuboid
joint laterally, which would correct for the forefoot adduction.
Question 10C

A
tendoachilles contracture may require lengthening of the heel
cord as part of the surgical correction.
Question 10D

If
this child were 6 months old instead of six years old a prolong
period of casting would be the treatment of choice.
Question 10E

Although
not as common as metatarsus adductus, skew foot occurs about at
the same incidence as club foot.
Go to Next Question Module, Go to General Orthopaedist Level Modules,
Go to Question Module Home Page,
Go to Case Presentation Home Page,
Orthopaedic Department Home Page.