INCORRECT


The correct answer is:

TRUE:

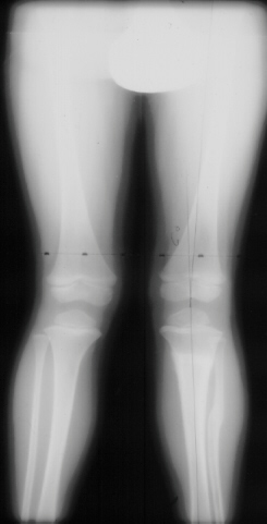
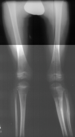
The history of this lesion is for rapid recovery of the valgus if significant growth is remaining. This child had an osteotomy, 3 Months post Surgery the mechanical axis on the left was 6 degrees. The x-ray at 9 months post surgery showed the mechanical axis on the left was 10 degrees.


Return to Present Question Module for more questions.

Go to detailed Case Presentation for more information.


Go to Next Question Module, Go to Case Presentation Home Page, Orthopaedic Department Home Page.