Module 20, Pediatric Orthopaedist Level

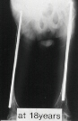
This 9 year old boy presented with the diagnosis of osteogenesis imperfecta. By age nine he sustained 16 fractures in his lower extremities and 30 fractures in his upper extremities. He started walking at 18 months of age. He now complains of pain in the ankle. At this time he is a household and minimal community ambulator. Following this fracture he did not walk and presented at age 18 with these x-rays. The diameter of the right and left femur at the age of 18 years were 7 and 8 mm's respectively.


Question 20A

An aggressive attempt to get him back walking using orthotics and physical therapy is indicated.


Question 20B

He has a scoliosis of 80 degrees. Posterior spine fusion with instrumentation is recommended.


Question 20C

This boys hearing is completely normal. This suggests his level of severity is such that ambulation is s possible.


Question 20D

Because he started walking at age 18 months and walked until the age of 9 years, there is more potential for regaining ambulatory ability.


Question 20E

Correction of his upper extremity deformities is an important predictor of walking ability.


Go to Next Question Module, Go to General Orthopaedist Level Modules, Go to Question Module Home Page, Go to Case Presentation Home Page, Orthopaedic Department Home Page.