
![]()
This
condition is usually thought to be autosomal dominant inheritance
with variable penetrance.
![]()
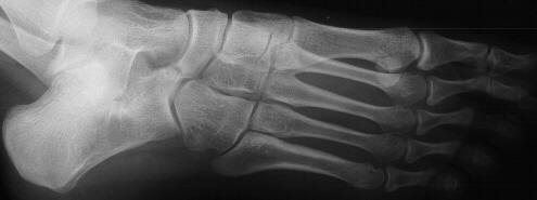
The
etiology of the above problem appears to be a defect in segmentation
and differentiation of the primitive mesenchyme
![]()
A
conservative treatment of casting and orthotic use has no scientific
basis of support for this condition.
![]()
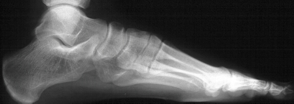
The
etiology of the spastic flat foot is a neurologic response to
inflammation in the subtalar joint causing spasticity of the peroneal
muscles.
![]()
Because
additional coalitions occur in 15 percent of the feet with a talonavicular
coalition, a CT scan of the talocalcaneal joint is required prior
to excision of the talonavicular bar.
Go to Next Question Module, Go to General Orthopaedist Level Modules, Go to Question Module Home Page, Go to Case Presentation Home Page, Orthopaedic Department Home Page.