Module 30, Pediatric Orthopaedist Level

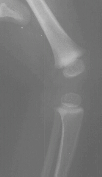
This 29 week gestation male was born by vaginal delivery. These x-rays were made after it was noted that that the knees appeared to be hyper-extended. The right knee had -30 degrees extension to 20 degrees of flexion. The left knee had -20 degrees extension to 20 degrees of flexion. Ortolani exam revealed a positive sign in the left hip and a negative sign in the right. Knee splints were applied. In two weeks the knees were able to flex to 75 degrees bilaterally.


Question 30A

An ultrasound should be obtained to make sure the knees are reduced.


Question 30B

If the knees can not achieve at least 100 degrees flexion by 6 weeks of age an open reduction is indicated.


Question 30C

Open reduction of the knee requires V-Y lengthening of the quadriceps tendon.


Question 30D

A grade three knee dislocation means the tibial plateau has no contact with the femoral condyles and this usually requires an open reduction with the knee being fixed with crossed K- wires.


Question 30E

Most children with dislocated knees have absent anterior cruciate ligament.


Go to Next Question Module, Go to General Orthopaedist Level Modules, Go to Question Module Home Page, Go to Case Presentation Home Page, Orthopaedic Department Home Page.