Module 31, Pediatric Orthopaedist Level
1,
2,
3,
4,
5
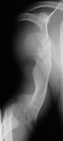
This 3 year boy presented with shortening of the right humerus.
Clinical examination revealed 4 cm shortening of right arm and
painless limitation of ROM of right shoulder; abduction was 150
degrees with 80 degrees at the glenohumeral joint and internal
rotation was significantly limited(image 1). There was also a
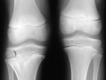
1 cm shortening of the right leg and a 10 degree valgus deformity
of the same knee(image 2). Radiological examination showed absence
of proximal epiphysis of the right humerus(image 1)with marked
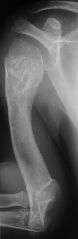
deformity of the metaphyseal region. By age 11 the child had a
good gait pattern however the upper extremity length discrepancy
was becoming a cosmetic and functional concern. X-rays at age
11 show significant angulation developed in the humerus(image
3,4 & 5). However tibial growth was good.
Question 31A

This
is the most appropriate time (11 years old) to consider lengthening
and the Ilizarov frame is the most appropriate approach.
Question 31B

The
radial nerve should be exposed prior to pin placement.
Question 31C

Lengthening
should be at a rate of 1 mm per day.
Question 31D

Lengthening
this child should be similar to lengthening a congenitally short
humerus.
Question 31E

The
maximum amount of length one should expect to obtain is 80% of
the length of the humerus.
Go to Next Question Module, Go to General Orthopaedist Level Modules,
Go to Question Module Home Page,
Go to Case Presentation Home Page,
Orthopaedic Department Home Page.