Module 34, Pediatric Orthopaedist Level



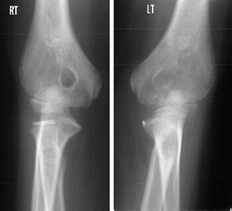
Order of Xray links: 1. Internal Rotation, 2. External Rotation,
3. AP, 4. Lateral.
The patient is an 11 year old, otherwise completely healthy
boy, who presented for evaluation of his left arm. He states he
has always had limited range of motion of his left arm, however,
his mother states that it was not until recently she became concerned.
The patient is right hand dominant. This does not cause him any
functional problems and he has no pain. The mother and boy are
concerned because the right and left arms are different. The left
arm demonstrates a shoulder with full range of motion (ROM) and
strength 5/5. The elbow has a flexion from 0 to 135 degrees, but
the forearm is fixed in 45 degrees of pronation without active
or passive supination. The wrist has full ROM with some hyper-mobility,
especially in radial and ulnar deviation. The strength is 5/5
in elbow flexion/extension, wrist flexion/extension and grip.
He is neurovascularly, intact. The right arm also demonstrates
normal motion at the elbow with flexion from 0-135 degrees but
limited supination from 0-50 degrees and pronation from 0-20 degrees.
The remainder of his exam was normal.
Question 34A

A
reasonable treatment option is resection of a piece of proximal
radius and insertion of swivel.
Question 34B

Derotational
osteotomy distal to synostosis site is the preferred surgical
treatment option if one is to consider surgery.
Question 34C

Derotational
osteotomy with the Ilizarov Method is considered the safest way
to obtain derotation with the least risk to the neurovascular
system.
Question 34D

The
inheritance pattern is usually sporadic, but can be associated
with family history (autosomal dominant with variable expression).
Question 34E

This
is also associated with coalescence of carpal bones, symphalangism
and dislocation of radius
Go to Next Question Module, Go to General Orthopaedist Level Modules,
Go to Question Module Home Page,
Go to Case Presentation Home Page,
Orthopaedic Department Home Page.