Module 39, Pediatric Orthopaedist Level


This 17 year old white female was involved in an MVA one week prior
to presenting to the doctor's office. She presented with localized low
back pain, there was no radiation of the pain. She had not noticed any
weakness or numbness. At approximately 6 weeks post injury, she noted the
onset pain with right leg radiation in an S1 distribution. She also experienced
occasional paresthesias in the same area. Her Low Back Pain decreased at
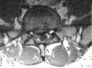
this point. She denied LE weakness or bowel/bladder dysfunction. MRI (L5-S1)
shows a right disc herniation with nerve root impingement Myleogram reveals
nerve root impingement.
Question 39A

Herniation of adolescent discs is much more common in Japan than North
America.
Question 39B

Patients with adolescent disc herniation more often have minor congenital
spinal abnormalities.
Question 39C

Adolescent
disc herniation tends to run in families.
Question 39D

Most
adolescent disc herniations will resolve with conservative treatment..
Question 39E

Surgical
treatment has an outcome as good as young adults.
Go to Next Question Module, Go
to General Orthopaedist Level Modules, Go
to Question Module Home Page, Go
to Case Presentation Home Page, Orthopaedic
Department Home Page.